Ptose eller hængende øjenlåg: Årsager og behandlinger


Bedømt og godkendt af sygeplejerske Leidy Mora Molina
Er du interesseret i at lære mere om ptose eller hængende øjenlåg? Vi fortæller dig om det i dagens artikel.
Dine øjenlåg er bevægelige strukturer, der dækker dine øjenæbler. De er med til at beskytte bindehinden og hornhinden. De kan miste deres bevægelighed eller hænge unormalt ned, hvilket vil påvirke dit syn negativt.
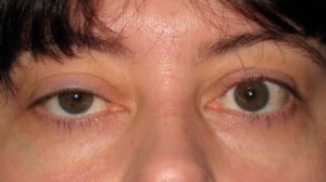
Øjenlågsptose eller hængende øjenlåg er en tilstand, hvor et eller begge dine øvre øjenlåg hænger ned. Det kan forekomme for personer af begge køn og for personer i alle aldre. Det er dog mest almindeligt hos ældre voksne. Desuden kan tilstanden være mild og knap nok mærkbar eller alvorlig med synsblokering.
Generelt opstår det, når musklerne i dine øjenlåg begynder at blive svækket. Derudover kan det være resultatet af en skade på nervebanerne eller tab af elasticitet i den hud, der danner folden ved øjenlåget.
Selv om du ikke kan forebygge denne tilstand, kan en tidlig medicinsk og kirurgisk behandling af denne tilstand hjælpe dig med at undgå komplikationer.
Årsager og risikofaktorer for ptose eller hængende øjenlåg
Flere tilstande kan forårsage øjenlågsptose. Undersøgelser viser, at den kan være medfødt eller erhvervet. Desuden er aldring den mest almindelige årsag.
Hængende øjenlåg kan også være resultatet af følgende:
- Aponeurotisk: Dette opstår ved kontinuerlig udstrækning og svækkelse af øjenlågsmusklen. Det er en af de mest almindelige årsager til hængende øjenlåg, og det er forbundet med alderdom, langvarig brug af stive kontaktlinser og tilbagevendende gnidning af øjnene.
- Neurogen: Dette er resultatet af en skade på de nervebaner, der styrer øjenlågets bevægelse. Denne tilstand opstår på niveauet af den tredje kranienerve eller den fælles okulomotoriske nerve. Desuden er det en almindelig tilstand ved Horners syndrom, myasthenia gravis og ansigtslammelse.
- Myogen: Dette er forbundet med systemiske tilstande, der fremmer progressiv muskeldystrofi og svaghed. På grund af dette kan øjenlågsmusklen ikke udføre sine funktioner ordentligt.
- Mekanisk: Dette er resultatet af en forøgelse af volumen på øjenlågsniveau fra enten en masse, cyste eller tumor.
- Traumatisk: Dette udvikler sig som følge af en ydre skade på øjenlågsniveau. Traumer kan direkte påvirke muskler, nervebaner, fascie eller en kombination af dem.
Hos nyfødte kan et hængende øjenlåg være resultatet af en fødselsdefekt eller en intrauterin udviklingsforstyrrelse. I disse tilfælde er det vigtigt at handle hurtigt, så du kan undgå langsigtede komplikationer, som f.eks. dovent øje eller amblyopi.

Hvem kan det ramme?
Generelt rammer øjenlågsptose mænd og kvinder lige meget. Desuden kan det opstå på et hvilket som helst tidspunkt i livet. Det er dog mere almindeligt hos ældre mennesker.
På samme måde er denne tilstand forbundet med følgende tilstande:
- Bygkorn.
- Tumor i øjenlåget.
- Tidligere korrigerende øjenoperation.
- Diabetes mellitus.
- Muskeldystrofi.
- Cerebrovaskulær sygdom.
- Ansigtslammelse.
Fortsæt din læsning: Skeløjethed: Symptomer og behandlinger
Symptomer og tegn i forbindelse med hængende øjenlåg
Den mest tydelige kliniske manifestation af ptose er det hængende øvre øjenlåg. Som følge heraf kan det delvist eller helt dække øjet. Graden vil variere fra let til alvorligt, og det kan påvirke et eller begge øjne.
Nogle undersøgelser viser, at et ensidigt hængende øjenlåg er det mest almindelige, og det er især almindeligt på venstre øje. Derudover er følgende symptomer almindelige:
- Følelse af vægt eller tryk på dit øjeæble.
- Konstant tåreflåd.
- Tørre øjne.
- Reduceret syn.
- Tilbagevendende vippen med hovedet for at se bedre.
Nogle gange forveksles manifestationen af et hængende øjenlåg med dermatochalasis. Dette er en bindevævssygdom, hvor der er overdrevne hudfolder på det øverste øjenlåg.
Mulige konsekvenser
Den vigtigste komplikation ved ptose er tab af synet på det ene eller begge øjne. Hos voksne kan det hæmme deres syn og påvirke deres evne til at udføre daglige aktiviteter.
På den anden side er amblyopi en visuel modningsforstyrrelse, som normalt rammer børn i skolealderen. Ved denne tilstand kan lyset ikke trænge ind gennem pupillen. Desuden tyder undersøgelser på, at andre refraktære tilstande som skelen og bygningsfejl bidrager til amblyopi på grund af ptose.
Hvornår skal man søge lægehjælp?
Generelt er et hængende øjenlåg uden synlig ekstern årsag normalt et tegn på en eller anden underliggende lidelse. Derfor er det vigtigt at søge lægehjælp så hurtigt som muligt.
Hvis du ikke gør det, kan dit hængende øjenlåg forårsage ubehag i øjnene og kontinuerlig tåreflåd. Desuden er nedsat synsevne ofte et alarmerende symptom, der kræver øjeblikkelig opmærksomhed.
Du bør også straks opsøge en sundhedsperson, hvis ptose begynder efter et traume. Generelt har traumatiske hændelser tendens til at kompromittere meget sarte nervestrukturer og er forbundet med skader på andre væv.
Diagnostiske tests
En øjenlæge er den specialist, der er ansvarlig for at behandle øjenskader eller -sygdomme. Lægen bør foretage en fysisk undersøgelse og spørge om patientens sygehistorie. Dette vil hjælpe lægen med at identificere den direkte årsag til det hængende øjenlåg.
Neurologisk undersøgelse af kranienerverne og osteoartikulær evaluering er afgørende for at bekræfte eller udelukke vores nerveskader eller muskelsygdomme. De kan også foretage en fundustest under lægeundersøgelsen. Denne undersøgelse vil vise eventuelle ændringer på niveauet af synsnerven og nethindevævet.
Derudover kan specialisten anmode om blodprøver og billeddannende undersøgelser, fordi de giver et bredere billede af tilstanden. I disse tests hjælper magnetisk resonansbilleddannelse og computertomografi fagpersonen med at identificere cerebrovaskulære hændelser og hjernetumorer.
Tensilon-testen er et andet nyttigt redskab til at diagnosticere øjenlågsptose. Det består af parenteral administration af edrophonium, et lægemiddel, der forbedrer muskelsammentrækningen ved at hæmme enzymet acetylcholinesterase. Din læge vil undersøge, om lægemidlet forbedrer dit hængende øjenlåg og muskelsvaghed.
Behandlinger af ptose eller hængende øjenlåg
Behandling af hængende øjenlåg afhænger af den underliggende tilstand, og hvor alvorlig den er. Nogle tilfælde kan kræve konventionelle metoder eller kirurgiske indgreb for at rette op på problemet. De fleste patienter kræver operation.
Ikke-kirurgiske
I øjeblikket er specielle briller en af de mest effektive ikke-invasive metoder til at håndtere hængende øjenlåg. De virker ved at støtte øjenlåget og øge dit synsfelt. Din øjenlæge skal justere dem.
Derudover kan specialisten ordinere B12-vitamin til personer med neuromuskulære lidelser. Dette vitamin fremmer den genopretningen af nerverne og kan forbedre erhvervede tilfælde af neurogen ptose.
Kirurgisk
Hvis du har at gøre med avancerede stadier af ptose, eller hvis du oplever synstab, skal du gennemgå en operation. Proceduren består i at reparere og løfte det berørte øjenlåg i en optimal position. Derved kan fagpersonen hurtigt forbedre patientens æstetik og syn.
Desuden kan specialisten anbefale operation til børn med medfødt ptose som en forebyggende behandling af amblyopi. Denne procedure kan dog føre til bivirkninger som asymmetriske øjenlåg, ubevægelighed af øjenlågene og tørre øjne.

Livsstil med ptose eller hængende øjenlåg
Generelt påvirker øjenlågsptose ikke patientens generelle helbred. Det er for det meste et kosmetisk problem. Den hurtige udvikling af denne tilstand uden behandling kan dog påvirke patientens syn. I disse tilfælde afhænger prognosen af den underliggende årsag og dens sværhedsgrad.
Korrektionskirurgi giver normalt tilfredsstillende resultater hos de fleste patienter. Det er vigtigt at bemærke, at denne procedure ikke anbefales til ældre voksne på grund af de tilknyttede komplikationer. Der findes også andre traditionelle metoder, der kan lindre symptomerne, som f.eks. akupunktur og øjenstyrkende øvelser.
Konklusion om ptose
Hængende øjenlåg udvikler sig normalt gradvist med små mærkbare ændringer i øjenslimhinden og synet. På grund af dette kan det gå ubemærket hen, især hos ældre mennesker. Øjenlågsptose kan dog også opstå som følge af en neurologisk skade eller et slagtilfælde.
Derfor bør du søge øjeblikkelig professionel hjælp, hvis denne tilstand omfatter tab af styrke i dine ekstremiteter, kramper, ændrede ansigtsudtryk og taleforstyrrelser. Tidlig opmærksomhed på problemet kan gøre en stor forskel.
Er du interesseret i at lære mere om ptose eller hængende øjenlåg? Vi fortæller dig om det i dagens artikel.
Dine øjenlåg er bevægelige strukturer, der dækker dine øjenæbler. De er med til at beskytte bindehinden og hornhinden. De kan miste deres bevægelighed eller hænge unormalt ned, hvilket vil påvirke dit syn negativt.
Øjenlågsptose eller hængende øjenlåg er en tilstand, hvor et eller begge dine øvre øjenlåg hænger ned. Det kan forekomme for personer af begge køn og for personer i alle aldre. Det er dog mest almindeligt hos ældre voksne. Desuden kan tilstanden være mild og knap nok mærkbar eller alvorlig med synsblokering.
Generelt opstår det, når musklerne i dine øjenlåg begynder at blive svækket. Derudover kan det være resultatet af en skade på nervebanerne eller tab af elasticitet i den hud, der danner folden ved øjenlåget.
Selv om du ikke kan forebygge denne tilstand, kan en tidlig medicinsk og kirurgisk behandling af denne tilstand hjælpe dig med at undgå komplikationer.
Årsager og risikofaktorer for ptose eller hængende øjenlåg
Flere tilstande kan forårsage øjenlågsptose. Undersøgelser viser, at den kan være medfødt eller erhvervet. Desuden er aldring den mest almindelige årsag.
Hængende øjenlåg kan også være resultatet af følgende:
- Aponeurotisk: Dette opstår ved kontinuerlig udstrækning og svækkelse af øjenlågsmusklen. Det er en af de mest almindelige årsager til hængende øjenlåg, og det er forbundet med alderdom, langvarig brug af stive kontaktlinser og tilbagevendende gnidning af øjnene.
- Neurogen: Dette er resultatet af en skade på de nervebaner, der styrer øjenlågets bevægelse. Denne tilstand opstår på niveauet af den tredje kranienerve eller den fælles okulomotoriske nerve. Desuden er det en almindelig tilstand ved Horners syndrom, myasthenia gravis og ansigtslammelse.
- Myogen: Dette er forbundet med systemiske tilstande, der fremmer progressiv muskeldystrofi og svaghed. På grund af dette kan øjenlågsmusklen ikke udføre sine funktioner ordentligt.
- Mekanisk: Dette er resultatet af en forøgelse af volumen på øjenlågsniveau fra enten en masse, cyste eller tumor.
- Traumatisk: Dette udvikler sig som følge af en ydre skade på øjenlågsniveau. Traumer kan direkte påvirke muskler, nervebaner, fascie eller en kombination af dem.
Hos nyfødte kan et hængende øjenlåg være resultatet af en fødselsdefekt eller en intrauterin udviklingsforstyrrelse. I disse tilfælde er det vigtigt at handle hurtigt, så du kan undgå langsigtede komplikationer, som f.eks. dovent øje eller amblyopi.

Hvem kan det ramme?
Generelt rammer øjenlågsptose mænd og kvinder lige meget. Desuden kan det opstå på et hvilket som helst tidspunkt i livet. Det er dog mere almindeligt hos ældre mennesker.
På samme måde er denne tilstand forbundet med følgende tilstande:
- Bygkorn.
- Tumor i øjenlåget.
- Tidligere korrigerende øjenoperation.
- Diabetes mellitus.
- Muskeldystrofi.
- Cerebrovaskulær sygdom.
- Ansigtslammelse.
Fortsæt din læsning: Skeløjethed: Symptomer og behandlinger
Symptomer og tegn i forbindelse med hængende øjenlåg
Den mest tydelige kliniske manifestation af ptose er det hængende øvre øjenlåg. Som følge heraf kan det delvist eller helt dække øjet. Graden vil variere fra let til alvorligt, og det kan påvirke et eller begge øjne.
Nogle undersøgelser viser, at et ensidigt hængende øjenlåg er det mest almindelige, og det er især almindeligt på venstre øje. Derudover er følgende symptomer almindelige:
- Følelse af vægt eller tryk på dit øjeæble.
- Konstant tåreflåd.
- Tørre øjne.
- Reduceret syn.
- Tilbagevendende vippen med hovedet for at se bedre.
Nogle gange forveksles manifestationen af et hængende øjenlåg med dermatochalasis. Dette er en bindevævssygdom, hvor der er overdrevne hudfolder på det øverste øjenlåg.
Mulige konsekvenser
Den vigtigste komplikation ved ptose er tab af synet på det ene eller begge øjne. Hos voksne kan det hæmme deres syn og påvirke deres evne til at udføre daglige aktiviteter.
På den anden side er amblyopi en visuel modningsforstyrrelse, som normalt rammer børn i skolealderen. Ved denne tilstand kan lyset ikke trænge ind gennem pupillen. Desuden tyder undersøgelser på, at andre refraktære tilstande som skelen og bygningsfejl bidrager til amblyopi på grund af ptose.
Hvornår skal man søge lægehjælp?
Generelt er et hængende øjenlåg uden synlig ekstern årsag normalt et tegn på en eller anden underliggende lidelse. Derfor er det vigtigt at søge lægehjælp så hurtigt som muligt.
Hvis du ikke gør det, kan dit hængende øjenlåg forårsage ubehag i øjnene og kontinuerlig tåreflåd. Desuden er nedsat synsevne ofte et alarmerende symptom, der kræver øjeblikkelig opmærksomhed.
Du bør også straks opsøge en sundhedsperson, hvis ptose begynder efter et traume. Generelt har traumatiske hændelser tendens til at kompromittere meget sarte nervestrukturer og er forbundet med skader på andre væv.
Diagnostiske tests
En øjenlæge er den specialist, der er ansvarlig for at behandle øjenskader eller -sygdomme. Lægen bør foretage en fysisk undersøgelse og spørge om patientens sygehistorie. Dette vil hjælpe lægen med at identificere den direkte årsag til det hængende øjenlåg.
Neurologisk undersøgelse af kranienerverne og osteoartikulær evaluering er afgørende for at bekræfte eller udelukke vores nerveskader eller muskelsygdomme. De kan også foretage en fundustest under lægeundersøgelsen. Denne undersøgelse vil vise eventuelle ændringer på niveauet af synsnerven og nethindevævet.
Derudover kan specialisten anmode om blodprøver og billeddannende undersøgelser, fordi de giver et bredere billede af tilstanden. I disse tests hjælper magnetisk resonansbilleddannelse og computertomografi fagpersonen med at identificere cerebrovaskulære hændelser og hjernetumorer.
Tensilon-testen er et andet nyttigt redskab til at diagnosticere øjenlågsptose. Det består af parenteral administration af edrophonium, et lægemiddel, der forbedrer muskelsammentrækningen ved at hæmme enzymet acetylcholinesterase. Din læge vil undersøge, om lægemidlet forbedrer dit hængende øjenlåg og muskelsvaghed.
Behandlinger af ptose eller hængende øjenlåg
Behandling af hængende øjenlåg afhænger af den underliggende tilstand, og hvor alvorlig den er. Nogle tilfælde kan kræve konventionelle metoder eller kirurgiske indgreb for at rette op på problemet. De fleste patienter kræver operation.
Ikke-kirurgiske
I øjeblikket er specielle briller en af de mest effektive ikke-invasive metoder til at håndtere hængende øjenlåg. De virker ved at støtte øjenlåget og øge dit synsfelt. Din øjenlæge skal justere dem.
Derudover kan specialisten ordinere B12-vitamin til personer med neuromuskulære lidelser. Dette vitamin fremmer den genopretningen af nerverne og kan forbedre erhvervede tilfælde af neurogen ptose.
Kirurgisk
Hvis du har at gøre med avancerede stadier af ptose, eller hvis du oplever synstab, skal du gennemgå en operation. Proceduren består i at reparere og løfte det berørte øjenlåg i en optimal position. Derved kan fagpersonen hurtigt forbedre patientens æstetik og syn.
Desuden kan specialisten anbefale operation til børn med medfødt ptose som en forebyggende behandling af amblyopi. Denne procedure kan dog føre til bivirkninger som asymmetriske øjenlåg, ubevægelighed af øjenlågene og tørre øjne.

Livsstil med ptose eller hængende øjenlåg
Generelt påvirker øjenlågsptose ikke patientens generelle helbred. Det er for det meste et kosmetisk problem. Den hurtige udvikling af denne tilstand uden behandling kan dog påvirke patientens syn. I disse tilfælde afhænger prognosen af den underliggende årsag og dens sværhedsgrad.
Korrektionskirurgi giver normalt tilfredsstillende resultater hos de fleste patienter. Det er vigtigt at bemærke, at denne procedure ikke anbefales til ældre voksne på grund af de tilknyttede komplikationer. Der findes også andre traditionelle metoder, der kan lindre symptomerne, som f.eks. akupunktur og øjenstyrkende øvelser.
Konklusion om ptose
Hængende øjenlåg udvikler sig normalt gradvist med små mærkbare ændringer i øjenslimhinden og synet. På grund af dette kan det gå ubemærket hen, især hos ældre mennesker. Øjenlågsptose kan dog også opstå som følge af en neurologisk skade eller et slagtilfælde.
Derfor bør du søge øjeblikkelig professionel hjælp, hvis denne tilstand omfatter tab af styrke i dine ekstremiteter, kramper, ændrede ansigtsudtryk og taleforstyrrelser. Tidlig opmærksomhed på problemet kan gøre en stor forskel.
Alle citerede kilder blev grundigt gennemgået af vores team for at sikre deres kvalitet, pålidelighed, aktualitet og validitet. Bibliografien i denne artikel blev betragtet som pålidelig og af akademisk eller videnskabelig nøjagtighed.
- Novo Torres A, Salvador Sanz J, Lorda Barraguer E, Laredo Ortiz C. Corrección de ptosis palpebral por la incisión de blefaroplastia. Cir. plást. iberolatinoam. 2006; 32( 3 ): 179-184.
- Negrin-Cáceres Y, Cabrera-Romero A, Cárdenas-Monzón L, Figueroa-Padilla M. Comportamiento clínico-quirúrgico de la ptosis palpebral en la consulta de Cirugía Plástica Ocular. Medicentro Electrónica. 2016; 20( 1 ): 18-26.
- Pérez-Íñigo M, González I, Mayoral F, Ferrer C, Honrubia F.M. Estudio comparativo de los defectos de refracción en niños con ptosis miogénica congénita simple y niños control. Arch Soc Esp Oftalmol. 2008; 83( 10 ): 601-606.
- Finsterer J. Ptosis: causes, presentation, and management. Aesthetic Plast Surg. 2003;27(3):193-204.
- SooHoo JR, Davies BW, Allard FD, Durairaj VD. Congenital ptosis. Surv Ophthalmol. 2014;59(5):483-92.
- Ng J, Hauck MJ. Ptosis repair. Facial Plast Surg. 2013;29(1):22-5.
- Vidal Pérez, Teresa, et al. “Efectividad de la digitopuntura y electromagnetopuntura en pacientes con ptosis palpebral congénita.” Medisan 15.10 (2011): 1384-1391.
- Novo Torres A, Salvador Sanz J, Lorda Barraguer E, Laredo Ortiz C. Corrección de ptosis palpebral por la incisión de blefaroplastia. Cir. plást. iberolatinoam. 2006; 32( 3 ): 179-184.
- Becerra EM, Blanco G, Muiños Y, Bianciotto C. Tratamiento quirúrgico de ptosis palpebral miogénica adquirida. Arch Soc Esp Oftalmol. 2005; 80( 6 ): 359-364.
Denne tekst er kun til informationsformål og erstatter ikke konsultation med en professionel. Hvis du er i tvivl, så konsulter din specialist.







