Hvide pletter på tænderne: Hvorfor opstår de?

Hvide pletter på tænderne kan opstå af forskellige årsager og kan være relateret til forskellige faktorer. For dem, der har dem, udgør de et æstetisk problem. Derudover kan de også repræsentere en underliggende tilstand.
I nogle tilfælde er de faktisk et tegn på, at tandhygiejnen svigter, at bakteriel plak ophobes, og at tænderne mister deres mineraler. Andre gange kan de dog også være genereret af andre situationer, og i denne artikel vil vi se på dem alle.
Når vi kender oprindelsen af hvide pletter på tænderne, kan vi bestemme den behandling, der skal udføres. I de fleste tilfælde har de en ret nem løsning, og personen kan igen få et smukt smil. Læs videre for at få mere at vide om hvide pletter på tænderne.
Hvad er hvide pletter på tænderne?
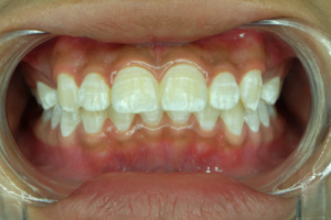
Hvide pletter på tænderne ses som en ændring i farven på overfladen af tandemaljen. De er synlige som områder med et tørt, mat hvidt udseende, der står i kontrast til tandens normale lyse gullige eller gråhvide farve.
Hvide pletter på tænderne er ret almindelige, og deres forekomst hænger sammen med flere faktorer. Manglende tandhygiejne er den hyppigste årsag. Overdreven indtagelse af sukkerholdige fødevarer, begyndende huller, hypoplasi og fluorose kan være andre årsager til deres opståen.
Disse pletter kan forekomme hos både børn og voksne og på både mælketænder og blivende tænder. Deres forekomst er ikke kun et sundhedsproblem, men også et æstetisk problem.
Nogle gange forårsager de usikkerhed og lavt selvværd hos den person, der har dem, og denne person kan forsøge at skjule sit smil på grund af den måde, som hans eller hendes tænder ser ud på.
Når man kan klarlægge årsagen til hvide pletter på tænderne, er det muligt at planlægge den rette behandling og træffe de nødvendige foranstaltninger for at undgå, at der opstår nye læsioner. Det er bedst at gå til tandlægen, når du bemærker en ændring i dine tænders farve.
Hvide pletter på tænderne og deres sammenhæng med mundsygdomme
Som nævnt er der forskellige årsager til, at der opstår hvide pletter på tænderne. Nogle er relateret til tidspunktet for dannelsen af tænderne og andre til eksterne situationer, der stammer fra orale sygdomme, som manifesterer sig med disse læsioner.

Hvide pletter på tænderne adskiller sig ved deres matte udseende i modsætning til andre farvninger, der reagerer på forskellige årsager, såsom brune pletter forårsaget af mad.
1. Hypoplasi
Denne tilstand genereres af mangelfuld og utilstrækkelig mineralisering i processen med dannelse af tandens hårde væv. Det er en ændring, der opstår under tændernes udvikling – dvs. i livmoderen eller i de første leveår.
Der er flere årsager, der kan give anledning til hypoplasi:
- Problemer under graviditeten: Hvis man lider af visse problemer under graviditeten, når barnets fremtidige tænder er ved at blive dannet, kan det ændre deres mineralisering og forårsage hypoplasi. Høj feber, infektioner, sygdomme hos moderen, ernæringsmangel eller indtagelse af visse lægemidler under graviditeten kan give anledning til denne tilstand.
- Problemer i den tidlige barndom: Hvis man lider af visse sygdomme i de første leveår, hvor tænderne stadig er ved at blive dannet, kan det også forårsage hypoplasi. For tidlig fødsel, lav fødselsvægt, infektioner, høj feber, systemiske sygdomme, underernæring og vitaminmangel er nogle eksempler på tilstande, der kan ændre tændernes mineralisering.
- Traumer: Når et slag rammer en mælketand, kan det skade den blivende tand, som er ved at blive dannet inde i knoglen gennem roden. Dette forårsager hypoplasi i den blivende tand.
Kan du lide denne artikel? Du vil måske også gerne læse: Alt, hvad du bør vide om blødende tandkød
2. Hvide pletter på tænderne på grund af fluorose
Dental fluorose er en patologi forårsaget af overdrevent fluoridforbrug i perioden for tanddannelse. Det er overskridelse af de anbefalede daglige doser af dette mineral, når tænderne er under udvikling, der er årsag til problemet.
I nogle regioner i verden indeholder drikkevandet en høj mængde af dette mineral, og forbruget heraf under udviklingen af tænderne kan forårsage fluorose. Brugen af fluoridtilskud, når det ikke er nødvendigt, eller indtagelse af fluorid i tandpasta med høje koncentrationer kan også være årsagen.
Fluorose viser sig som hvide pletter på tændernes overflade. Disse hvide pletter rammer normalt flere berørte tænder, og de har en tendens til at have en karakteristisk stribe. I mere alvorlige tilfælde er farven mere brunlig, og der kan også ses ufuldkommenheder som ruhed og fordybninger på tandkronerne.
3. Huller i tænderne
En af de hyppigste årsager til hvide pletter på tænderne er huller i tænderne. Begyndelsen af denne sygdom viser sig ved en kedelig, hvidlig farve med et tørt udseende.
Denne tilstand skyldes tab af mineraler fra tandkronens emalje. Dette sker på grund af virkningen af syrer, der produceres af bakterier, som fermenterer kulhydrater i kosten.
Derfor er denne type hvide pletter forbundet med dårlig tandhygiejne og en kost rig på kulhydrater, især fødevarer rige på sukkerstoffer. Dette fremmer dannelsen og ophobningen af bakteriel plak, som giver anledning til huller.
Generelt går denne tilstand ofte ubemærket hen af patienterne, så regelmæssige tandlægeundersøgelser er afgørende. Dette tidlige stadium af sygdommen er reversibelt, og ved brug af terapeutisk fluorid kan tanden blive normal igen.
4. Afkalkning af tænderne
Der er lokaliserede områder med kalktab og kalkmangel, der viser sig som hvide pletter på tænderne. Disse kan være forårsaget af forskellige årsager:
- Tanderosion: Tændernes overflade udsættes ofte for syrer, sodavand, citronsyre eller eddikesorter, hvilket påvirker tandemaljen. Lider man af sure opstød, kan tandoverfladen også ændres.
- Meget traumatisk tandpleje: Hvis man børster tænderne for hurtigt og med for stort tryk, bruger for meget kraft eller bruger en meget hård børste ofte, kan det nedbryde tandemaljen.
- Ernæringsmangel: Mangel på tilstrækkelige næringsstoffer og længerevarende perioder med surhed i munden fremmer tabet af mineraler fra tænderne.
- Mundtørhed: Mangel på spyt fremmer tabet af mineraler fra tænderne.
5. Hvide pletter i forbindelse med tandlægebehandling
Der er en sammenhæng mellem ortodontisk behandling med bøjler og hvide pletter på tænderne. Det er dog ikke bøjlerne, der forårsager disse defekter på tænderne, det er ofte vanskelighederne med at opretholde en ordentlig tandhygiejne, der giver anledning til tilstanden.
Manglende korrekt hygiejne i alle områder af munden fører til ophobning af plak omkring bøjlerne og under elastikkerne. Dette resulterer i demineralisering af emaljen, hvilket ses som hvide pletter på tænderne. Generelt bliver disse tydelige, når bøjlen fjernes, og bør behandles på det tidspunkt.
Vi tror, at du måske også vil være interesseret i at læse dette: Årsager til sår i munden og behandlinger
Sådan behandler du hvide pletter på tænderne
Som nævnt er det først nødvendigt at fastslå årsagen til de hvide pletter på tænderne for at beslutte, hvilken behandling der skal bruges til at behandle dem.
Ved at opsøge en tandlæge kan du få en præcis diagnose og planlægge den behandling, der er indiceret for hvert enkelt tilfælde. Derefter kan de anbefale en af følgende behandlinger.
1. Terapeutisk fluorid
Fluorid bruges til at behandle hvide pletter forårsaget af afkalkninger og de første stadier af huller. Ved at påføre elementet lokalt på tænderne kan de remineraliseres.
Behandlingen udføres af tandlægen på klinikken, idet tandlægen placerer fluoridet på tandoverfladen og lader det virke i et stykke tid. Den findes i form af geler, lak eller skum, der indeholder en høj koncentration af mineralet.
Efter påføring af produktet instruerer tandlægen patienten om ikke at spise, drikke eller skylle munden i et par timer. Desuden vil tandlægen angive, hvor ofte påføringen skal gentages for at behandle tilstanden.
2. Microabrasion
Denne behandling er nyttig til behandling af overfladiske hvide pletter. Proceduren består i at polere det berørte område af tanden med roterende instrumenter eller specielle syrer. Derefter fyldes den behandlede del af tanden med en fyldning, der har samme farve som tanden.
3. Fyldninger
En anden måde at fjerne pletter fra tænderne på er ved at bruge fyldninger. Disse anvendes ved større og dybere pletter.
I dette tilfælde skal det angrebne væv fjernes med roterende instrumenter, og der dannes et hul. Hullet fyldes med tandfarvede kompositmaterialer, der bindes sammen med specielle klæbesystemer.
Det anvendte materiale har en konsistens, der ligner voks, hvilket gør det muligt for tandlægen at forme det og give det det udseende, han/hun ønsker. Når det er gjort, anvendes et særligt lys, der hærder materialet, og derefter poleres fyldet for at give det det endelige udseende.
4. Tandfacader eller kroner
Disse muligheder overvejes i de mest alvorlige tilfælde, når der er store angrebne områder, og pletterne skyldes problemer under udviklingen, f.eks. hypoplasi og fluorose. Facader eller kroner gør det muligt at dække ufuldkommenheder og give tænderne et naturligt udseende.
Facader er kendetegnet ved at blive anbragt på den forreste del af tanden. Tidligere skal der foretages en lille slibning på tanden for at give den støtte. De er fremstillet af en komposit eller porcelæn og kan opnå optimal æstetik.
Kroner dækker derimod hele tanden, ligesom en hætte. Det er også nødvendigt at slibe på tanden for at placere dem, hvilket kræver mere slid.
Ved udformningen af dem tages der hensyn til form, farve og størrelse af den tand, der skal genoprettes, så de er personlige og giver en passende løsning til hvert enkelt tilfælde.
5. Tandblegning
Tandblegning er en af de mest effektive måder at opnå et hvidere og smukkere smil på. Det er også en god måde til at fjerne hvide pletter på tænderne, især når de sidder i det yderste lag af tanden.
Denne teknik søger ikke kun at opnå mere æstetiske resultater, men også at jævne emaljen, hvilket letter rengøringen af tænderne og elimineringen af bakterier. I øjeblikket findes der flere typer af tandblegning, så den bedste løsning er at konsultere en tandlæge for at vælge den mest hensigtsmæssige.

Facader slører pletten. Dette er en anden metode end kroner.
Forebyggelse af hvide pletter på tænderne
Nogle hvide pletter på tænderne kan ikke forebygges, men de fleste kan forebygges ved at følge nogle af følgende tips:
- Tilstrækkelig tandhygiejne: Forebyggelse af ophobning af bakteriel plak forhindrer tab af mineraler fra tænderne. Det er vigtigt at børste tænderne grundigt to gange om dagen, bruge tandtråd, fluoridtandpasta og supplere med mundskyl. Personer med bøjler bør være særligt opmærksomme på grundig mundhygiejne og altid forsøge at nå alle områder i mundhulen.
- Undgå overdrevent fluoridforbrug: Hvis du kender fluoridniveauet i dit drikkevand, undgår du at bruge kosttilskud, der indeholder mineralet uden medicinsk indikation, og bruger den rigtige mængde tandpasta til hver alder, kan det være med til at forebygge fluorose hos børn.
- Sund kost: Ved at spise en afbalanceret og næringsrig kost forebygger man mangel på mineraler, der kan forårsage afkalkning i tænderne. Hvis du desuden undgår forarbejdede, sure og sukkerholdige fødevarer, kan du mindske risikoen for at udvikle hvide pletter på tænderne.
- Regelmæssige besøg hos tandlægen: Afslutningsvis giver regelmæssige tandlægebesøg dig mulighed for at opdage eventuelle problemer, så de kan behandles i tide. Professionel rensning og råd fra tandlægen er med til at kontrollere bakteriel plak og holde munden sund.
Pas på dit smil
At have hvide pletter på tænderne er ikke kun et mundhygiejneproblem. Det påvirker også en persons udseende, hvilket kan give problemer med selvværd og selvopfattelse.
Heldigvis er det dog muligt at undgå hvide pletter og få smukke tænder med visse teknikker til pleje af dine tænder. Med sunde metoder og regelmæssige besøg hos tandlægen vil smilet aldrig blive et problem for dig!
Hvide pletter på tænderne kan opstå af forskellige årsager og kan være relateret til forskellige faktorer. For dem, der har dem, udgør de et æstetisk problem. Derudover kan de også repræsentere en underliggende tilstand.
I nogle tilfælde er de faktisk et tegn på, at tandhygiejnen svigter, at bakteriel plak ophobes, og at tænderne mister deres mineraler. Andre gange kan de dog også være genereret af andre situationer, og i denne artikel vil vi se på dem alle.
Når vi kender oprindelsen af hvide pletter på tænderne, kan vi bestemme den behandling, der skal udføres. I de fleste tilfælde har de en ret nem løsning, og personen kan igen få et smukt smil. Læs videre for at få mere at vide om hvide pletter på tænderne.
Hvad er hvide pletter på tænderne?
Hvide pletter på tænderne ses som en ændring i farven på overfladen af tandemaljen. De er synlige som områder med et tørt, mat hvidt udseende, der står i kontrast til tandens normale lyse gullige eller gråhvide farve.
Hvide pletter på tænderne er ret almindelige, og deres forekomst hænger sammen med flere faktorer. Manglende tandhygiejne er den hyppigste årsag. Overdreven indtagelse af sukkerholdige fødevarer, begyndende huller, hypoplasi og fluorose kan være andre årsager til deres opståen.
Disse pletter kan forekomme hos både børn og voksne og på både mælketænder og blivende tænder. Deres forekomst er ikke kun et sundhedsproblem, men også et æstetisk problem.
Nogle gange forårsager de usikkerhed og lavt selvværd hos den person, der har dem, og denne person kan forsøge at skjule sit smil på grund af den måde, som hans eller hendes tænder ser ud på.
Når man kan klarlægge årsagen til hvide pletter på tænderne, er det muligt at planlægge den rette behandling og træffe de nødvendige foranstaltninger for at undgå, at der opstår nye læsioner. Det er bedst at gå til tandlægen, når du bemærker en ændring i dine tænders farve.
Hvide pletter på tænderne og deres sammenhæng med mundsygdomme
Som nævnt er der forskellige årsager til, at der opstår hvide pletter på tænderne. Nogle er relateret til tidspunktet for dannelsen af tænderne og andre til eksterne situationer, der stammer fra orale sygdomme, som manifesterer sig med disse læsioner.

Hvide pletter på tænderne adskiller sig ved deres matte udseende i modsætning til andre farvninger, der reagerer på forskellige årsager, såsom brune pletter forårsaget af mad.
1. Hypoplasi
Denne tilstand genereres af mangelfuld og utilstrækkelig mineralisering i processen med dannelse af tandens hårde væv. Det er en ændring, der opstår under tændernes udvikling – dvs. i livmoderen eller i de første leveår.
Der er flere årsager, der kan give anledning til hypoplasi:
- Problemer under graviditeten: Hvis man lider af visse problemer under graviditeten, når barnets fremtidige tænder er ved at blive dannet, kan det ændre deres mineralisering og forårsage hypoplasi. Høj feber, infektioner, sygdomme hos moderen, ernæringsmangel eller indtagelse af visse lægemidler under graviditeten kan give anledning til denne tilstand.
- Problemer i den tidlige barndom: Hvis man lider af visse sygdomme i de første leveår, hvor tænderne stadig er ved at blive dannet, kan det også forårsage hypoplasi. For tidlig fødsel, lav fødselsvægt, infektioner, høj feber, systemiske sygdomme, underernæring og vitaminmangel er nogle eksempler på tilstande, der kan ændre tændernes mineralisering.
- Traumer: Når et slag rammer en mælketand, kan det skade den blivende tand, som er ved at blive dannet inde i knoglen gennem roden. Dette forårsager hypoplasi i den blivende tand.
Kan du lide denne artikel? Du vil måske også gerne læse: Alt, hvad du bør vide om blødende tandkød
2. Hvide pletter på tænderne på grund af fluorose
Dental fluorose er en patologi forårsaget af overdrevent fluoridforbrug i perioden for tanddannelse. Det er overskridelse af de anbefalede daglige doser af dette mineral, når tænderne er under udvikling, der er årsag til problemet.
I nogle regioner i verden indeholder drikkevandet en høj mængde af dette mineral, og forbruget heraf under udviklingen af tænderne kan forårsage fluorose. Brugen af fluoridtilskud, når det ikke er nødvendigt, eller indtagelse af fluorid i tandpasta med høje koncentrationer kan også være årsagen.
Fluorose viser sig som hvide pletter på tændernes overflade. Disse hvide pletter rammer normalt flere berørte tænder, og de har en tendens til at have en karakteristisk stribe. I mere alvorlige tilfælde er farven mere brunlig, og der kan også ses ufuldkommenheder som ruhed og fordybninger på tandkronerne.
3. Huller i tænderne
En af de hyppigste årsager til hvide pletter på tænderne er huller i tænderne. Begyndelsen af denne sygdom viser sig ved en kedelig, hvidlig farve med et tørt udseende.
Denne tilstand skyldes tab af mineraler fra tandkronens emalje. Dette sker på grund af virkningen af syrer, der produceres af bakterier, som fermenterer kulhydrater i kosten.
Derfor er denne type hvide pletter forbundet med dårlig tandhygiejne og en kost rig på kulhydrater, især fødevarer rige på sukkerstoffer. Dette fremmer dannelsen og ophobningen af bakteriel plak, som giver anledning til huller.
Generelt går denne tilstand ofte ubemærket hen af patienterne, så regelmæssige tandlægeundersøgelser er afgørende. Dette tidlige stadium af sygdommen er reversibelt, og ved brug af terapeutisk fluorid kan tanden blive normal igen.
4. Afkalkning af tænderne
Der er lokaliserede områder med kalktab og kalkmangel, der viser sig som hvide pletter på tænderne. Disse kan være forårsaget af forskellige årsager:
- Tanderosion: Tændernes overflade udsættes ofte for syrer, sodavand, citronsyre eller eddikesorter, hvilket påvirker tandemaljen. Lider man af sure opstød, kan tandoverfladen også ændres.
- Meget traumatisk tandpleje: Hvis man børster tænderne for hurtigt og med for stort tryk, bruger for meget kraft eller bruger en meget hård børste ofte, kan det nedbryde tandemaljen.
- Ernæringsmangel: Mangel på tilstrækkelige næringsstoffer og længerevarende perioder med surhed i munden fremmer tabet af mineraler fra tænderne.
- Mundtørhed: Mangel på spyt fremmer tabet af mineraler fra tænderne.
5. Hvide pletter i forbindelse med tandlægebehandling
Der er en sammenhæng mellem ortodontisk behandling med bøjler og hvide pletter på tænderne. Det er dog ikke bøjlerne, der forårsager disse defekter på tænderne, det er ofte vanskelighederne med at opretholde en ordentlig tandhygiejne, der giver anledning til tilstanden.
Manglende korrekt hygiejne i alle områder af munden fører til ophobning af plak omkring bøjlerne og under elastikkerne. Dette resulterer i demineralisering af emaljen, hvilket ses som hvide pletter på tænderne. Generelt bliver disse tydelige, når bøjlen fjernes, og bør behandles på det tidspunkt.
Vi tror, at du måske også vil være interesseret i at læse dette: Årsager til sår i munden og behandlinger
Sådan behandler du hvide pletter på tænderne
Som nævnt er det først nødvendigt at fastslå årsagen til de hvide pletter på tænderne for at beslutte, hvilken behandling der skal bruges til at behandle dem.
Ved at opsøge en tandlæge kan du få en præcis diagnose og planlægge den behandling, der er indiceret for hvert enkelt tilfælde. Derefter kan de anbefale en af følgende behandlinger.
1. Terapeutisk fluorid
Fluorid bruges til at behandle hvide pletter forårsaget af afkalkninger og de første stadier af huller. Ved at påføre elementet lokalt på tænderne kan de remineraliseres.
Behandlingen udføres af tandlægen på klinikken, idet tandlægen placerer fluoridet på tandoverfladen og lader det virke i et stykke tid. Den findes i form af geler, lak eller skum, der indeholder en høj koncentration af mineralet.
Efter påføring af produktet instruerer tandlægen patienten om ikke at spise, drikke eller skylle munden i et par timer. Desuden vil tandlægen angive, hvor ofte påføringen skal gentages for at behandle tilstanden.
2. Microabrasion
Denne behandling er nyttig til behandling af overfladiske hvide pletter. Proceduren består i at polere det berørte område af tanden med roterende instrumenter eller specielle syrer. Derefter fyldes den behandlede del af tanden med en fyldning, der har samme farve som tanden.
3. Fyldninger
En anden måde at fjerne pletter fra tænderne på er ved at bruge fyldninger. Disse anvendes ved større og dybere pletter.
I dette tilfælde skal det angrebne væv fjernes med roterende instrumenter, og der dannes et hul. Hullet fyldes med tandfarvede kompositmaterialer, der bindes sammen med specielle klæbesystemer.
Det anvendte materiale har en konsistens, der ligner voks, hvilket gør det muligt for tandlægen at forme det og give det det udseende, han/hun ønsker. Når det er gjort, anvendes et særligt lys, der hærder materialet, og derefter poleres fyldet for at give det det endelige udseende.
4. Tandfacader eller kroner
Disse muligheder overvejes i de mest alvorlige tilfælde, når der er store angrebne områder, og pletterne skyldes problemer under udviklingen, f.eks. hypoplasi og fluorose. Facader eller kroner gør det muligt at dække ufuldkommenheder og give tænderne et naturligt udseende.
Facader er kendetegnet ved at blive anbragt på den forreste del af tanden. Tidligere skal der foretages en lille slibning på tanden for at give den støtte. De er fremstillet af en komposit eller porcelæn og kan opnå optimal æstetik.
Kroner dækker derimod hele tanden, ligesom en hætte. Det er også nødvendigt at slibe på tanden for at placere dem, hvilket kræver mere slid.
Ved udformningen af dem tages der hensyn til form, farve og størrelse af den tand, der skal genoprettes, så de er personlige og giver en passende løsning til hvert enkelt tilfælde.
5. Tandblegning
Tandblegning er en af de mest effektive måder at opnå et hvidere og smukkere smil på. Det er også en god måde til at fjerne hvide pletter på tænderne, især når de sidder i det yderste lag af tanden.
Denne teknik søger ikke kun at opnå mere æstetiske resultater, men også at jævne emaljen, hvilket letter rengøringen af tænderne og elimineringen af bakterier. I øjeblikket findes der flere typer af tandblegning, så den bedste løsning er at konsultere en tandlæge for at vælge den mest hensigtsmæssige.

Facader slører pletten. Dette er en anden metode end kroner.
Forebyggelse af hvide pletter på tænderne
Nogle hvide pletter på tænderne kan ikke forebygges, men de fleste kan forebygges ved at følge nogle af følgende tips:
- Tilstrækkelig tandhygiejne: Forebyggelse af ophobning af bakteriel plak forhindrer tab af mineraler fra tænderne. Det er vigtigt at børste tænderne grundigt to gange om dagen, bruge tandtråd, fluoridtandpasta og supplere med mundskyl. Personer med bøjler bør være særligt opmærksomme på grundig mundhygiejne og altid forsøge at nå alle områder i mundhulen.
- Undgå overdrevent fluoridforbrug: Hvis du kender fluoridniveauet i dit drikkevand, undgår du at bruge kosttilskud, der indeholder mineralet uden medicinsk indikation, og bruger den rigtige mængde tandpasta til hver alder, kan det være med til at forebygge fluorose hos børn.
- Sund kost: Ved at spise en afbalanceret og næringsrig kost forebygger man mangel på mineraler, der kan forårsage afkalkning i tænderne. Hvis du desuden undgår forarbejdede, sure og sukkerholdige fødevarer, kan du mindske risikoen for at udvikle hvide pletter på tænderne.
- Regelmæssige besøg hos tandlægen: Afslutningsvis giver regelmæssige tandlægebesøg dig mulighed for at opdage eventuelle problemer, så de kan behandles i tide. Professionel rensning og råd fra tandlægen er med til at kontrollere bakteriel plak og holde munden sund.
Pas på dit smil
At have hvide pletter på tænderne er ikke kun et mundhygiejneproblem. Det påvirker også en persons udseende, hvilket kan give problemer med selvværd og selvopfattelse.
Heldigvis er det dog muligt at undgå hvide pletter og få smukke tænder med visse teknikker til pleje af dine tænder. Med sunde metoder og regelmæssige besøg hos tandlægen vil smilet aldrig blive et problem for dig!
Alle citerede kilder blev grundigt gennemgået af vores team for at sikre deres kvalitet, pålidelighed, aktualitet og validitet. Bibliografien i denne artikel blev betragtet som pålidelig og af akademisk eller videnskabelig nøjagtighed.
- Quiñones Ybarría, María Elena, et al. “Estado de salud bucal: su relación con el estado nutricional en niños de 2 a 5 años.” Revista Cubana de Estomatología 45.2 (2008): 0-0.
- Giraldo Giraldo, Nubia Amparo, Alejandro Estrada Restrepo, and Andrés Alonso Agudelo Suárez. “Malnutrición y su relación con aspectos de salud en adultos mayores.” (2019).
- Loyola-Rodríguez, J. P., et al. “Incidencia de lesión de mancha blanca en las clínicas de ortodoncia de la Universidad Michoacana en Morelia, Michoacán, México.” Actualidad Médica 803 (2018).
- Da Silva, Claudia Ester, Julieta Galán, and Stella Maris González. “Etiología y diagnóstico diferencial de las lesiones de mancha blanca sobre la superficie adamantina.” III Jornadas de Actualización en Prácticas Odontológicas Integradas SEPOI-PPS (La Plata, 2018). 2018.
- Narváez Santos, María José. Tratamiento de la mancha blanca del esmalte post tratamiento ortodóncico. BS thesis. Universidad de Guayaquil. Facultad Piloto de Odontología, 2021.
- Garófalo León, Mirian Adela. “Prevalencia de mancha blanca en pacientes de 3 a 6 años Clínica Odontológica UCSG B 2017.” (2018).
- Maldonado-Ramírez, M. A., et al. “Remineralización de caries de mancha blanca no cavitada: estudio in vitro.” Oral 20.64 (2019): 1766-1770.
- Carrasco Morales, Maria Belén. Fluorosis dental infantil. BS thesis. Universidad de Guayaquil. Facultad Piloto de Odontología, 2021.
- Lalama Pincay, Martha Elizabeth. Microabrasión adamantina con ácido clorhídrico y ácido fosfórico en tratamiento de fluorosis dental leve. BS thesis. Universidad de Guayaquil. Facultad Piloto de Odontología, 2018.
- Poma Torres, Esthefania Mirella. Manejo y protocolo de atención de la hipoplasia en niños. BS thesis. Universidad de Guayaquil. Facultad Piloto de Odontología, 2021.
- Montero Ronquillo, Mercedes María. Manchas blancas como primera manifestación en la Estructura dental en dentición temporaria. BS thesis. Universidad de Guayaquil. Facultad Piloto de Odontología, 2021.
- Uzuriaga Bonifacio, Jossibel Dunea. “EFECTIVIDAD DEL FLUOR BARNIZ FRENTE AL FLUOR GEL NEUTRO PARA EL TRATAMIENTO DE MANCHAS BLANCAS DENTARIAS EN NIÑOS DE 5 A 6 AÑOS EN EL HOSPITAL II ESSALUD HUÀNUCO 2019.” (2021).
- González, María Alejandra Romero, and Denisse Pilar Carmen Aguilar Gálvez. “Comparación de tres agentes remineralizantes utilizados en lesiones de manchas blancas en premolares medidos con fluorescencia láser: un estudio in vitro.” Revista Científica Odontológica 7.1 (2019): 66-77.
Denne tekst er kun til informationsformål og erstatter ikke konsultation med en professionel. Hvis du er i tvivl, så konsulter din specialist.







