Sådan kan du fjerne tandsten naturligt fra dine tænder

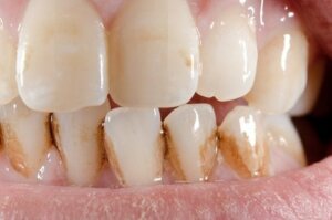
Man kan fjerne tandsten naturligt. Tandsten er en hærdning af plak som følge af mineralaflejringer.
Dette medfører normalt, at tænderne ser uinteressante ud med en gullig eller brunlig misfarvning. På grænsen mellem tandkød og tænder kan aflejringen være endnu mørkere i farven. Som følge heraf ser det ofte ud som en slags skorpe over området.
Hvad skal du vide om tandsten?

Tandsten er ru at røre ved. Ud over at være et æstetisk problem kan det også føre til andre sundhedsproblemer. Når tandsten interagerer med visse fødevarer (f.eks. slik, cola og stegte fødevarer), frigiver den en syre, som kan forårsage huller.
På den anden side kan visse vaner som rygning, alkoholisme og overdrevet kaffeforbrug fremme forekomsten af tandsten. Der kan også være en genetisk disposition til produktion af tandsten.
Du vil måske finde dette interessant: Appelsinblomstvand: Et naturligt middel til hudpleje
Hjemmemidler mod tandsten på tænderne
Det bedste middel mod tandsten er forebyggelse, og ordentlige tandhygiejnevaner hjælper med at forhindre forekomsten af denne plak.
Specialister anbefaler, at man børster tænderne efter hvert måltid eller mindst to gange om dagen. Tandtråd eller brug af interdentalbørster mindst en gang om dagen hjælper også med at forhindre forekomsten af tandsten.
Ud over at opretholde gode tandhygiejnevaner er det vigtigt at besøge tandlægen med jævne mellemrum for at få en grundig rengøring. Du kan dog også drage fordel af specifikke hjemmemidler for at forebygge tandsten på tænderne.
Natron til at fjerne tandsten naturligt

Mange mennesker bruger natron blandet med citron eller salt for at styrke deres tandhygiejne og holde farven på tænderne pæn, på grund af disse ingrediensers egenskaber. Det anbefales også at blande det med en smule vand, da smagen kan være lidt intens.
Vær dog forsigtig med brugen, da det kan skade emaljen på dine tænder.
Ingredienser
- En spiseskefuld natron (10 g).
- En teskefuld salt (5 g).
- Vand (så meget som nødvendigt).
Fremgangsmåde
- Bland natron og salt i en skål.
- Dyp derefter din tandbørste i varmt vand.
- Dyp tandbørsten i natron- og saltblandingen.
- Børst som sædvanligt, men prøv at fokusere på de områder, hvor tandsten har en tendens til at samle sig mest.
- Gentag det mindst to gange om dagen (morgen og aften) for at opnå resultater.
Citron til at fjerne tandsten naturligt
Dette er et andet af de bedste tandblegemidler. Desuden har denne citrusfrugt antibakterielle egenskaber, som er nyttige i kampen mod tandsten.
Efter brug skal du skylle godt, så det ikke giver pletter på huden omkring munden, når den er i kontakt med solen.
Syren i citronen kan skade eller svække tænderne, så du bør højst bruge denne opskrift en gang om ugen.
Ingredienser
- Saften fra ½ citron.
- 125 ml varmt vand.
Fremgangsmåde
- Fyld det varme vand i en kop. Tilsæt citronsaft.
- Rør rundt.
- Skyl det rundt i munden, inden du går i seng.
- Skyl til sidst med lidt varmt vand, så du ikke får en sur smag i munden.
Brintoverilte
Dette husholdningsmiddel kan også bruges til at lysne tænderne og fjerne tandsten naturligt. Du kan bruge dette hjemmemiddel op til tre gange om ugen, altid som en mundskyl efter rutinemæssig tandbørstning.
Ingredienser
- 6s ml varmt vand.
- To spiseskefulde brintoverilte (20 ml).
Fremgangsmåde
- Kom varmt vand i et glas, og tilsæt brintoverilte. Rør rundt for at blande.
- Tag derefter noget af vandet, og skyl munden i mindst 1 minut.
- Spyt blandingen ud, og gentag i endnu et minut.
- Skyl med koldt vand.
Sesamfrø

Disse frø er ideelle til at fjerne ophobet snavs på tænderne.
- Du skal blot tage en skefuld af dem og tygge dem langsomt i et minut eller to.
- Spyt dem derefter ud, og massér tænderne ved hjælp af en tidligere fugtet tandbørste.
- Til sidst skylles med vand.
Persille til at fjerne tandsten naturligt

Denne aromatiske urt, der bruges i mange opskrifter som smagsgiver, kan også hjælpe med at bekæmpe ophobning af tandsten på tandkødet. Et af de mest enkle midler er som følger:
Ingredienser
- En håndfuld persilleblade (20 g).
- En spiseskefuld vand (10 ml).
Fremgangsmåde
- Vask og hak persillebladene fint.
- Bland dem derefter med vand til en pasta.
- Kom blandingen på dine tænder, og lad den sidde i ca. 5 minutter.
- Skyl derefter med rigelige mængder varmt vand.
Frugter til at fjerne tandsten naturligt fra tænderne

Tro det eller ej, men visse frugter kan blege vores tænder og fjerne gammelt tandsten. For at denne metode skal virke, skal man spise dem rå og bide i dem (ikke skære dem med en kniv).
Æble, melon og jordbær er tre perfekte alternativer til at få sundt tandkød, undgå ophobning af mad og forhindre blødning, der opstår ved tandbørstning. Det skal dog bemærkes, at æblerne skal spises med skræl for at opnå den ønskede effekt.
Desuden kan både jordbær og tomater bruges ved blot at skære dem i skiver og gnide dem direkte på tænderne før hvert måltid.
Nyere undersøgelser viser, at et konsekvent og langvarigt forbrug af frugt er forbundet med en reduktion af dannelsen af tandsten. Det skyldes, at frugt fremmer forsuring af tandplak, hvilket forhindrer ophobning heraf.
En anden hjemmelavet måde at bekæmpe tandsten på er at gnide indersiden af skallen på visse frugter (appelsin og banan) mod tænderne i ca. 2-3 minutter før og efter at have spist. Så smid dem ikke væk, og udnyt dem til at passe på dine tænder!
Man kan fjerne tandsten naturligt. Tandsten er en hærdning af plak som følge af mineralaflejringer.
Dette medfører normalt, at tænderne ser uinteressante ud med en gullig eller brunlig misfarvning. På grænsen mellem tandkød og tænder kan aflejringen være endnu mørkere i farven. Som følge heraf ser det ofte ud som en slags skorpe over området.
Hvad skal du vide om tandsten?

Tandsten er ru at røre ved. Ud over at være et æstetisk problem kan det også føre til andre sundhedsproblemer. Når tandsten interagerer med visse fødevarer (f.eks. slik, cola og stegte fødevarer), frigiver den en syre, som kan forårsage huller.
På den anden side kan visse vaner som rygning, alkoholisme og overdrevet kaffeforbrug fremme forekomsten af tandsten. Der kan også være en genetisk disposition til produktion af tandsten.
Du vil måske finde dette interessant: Appelsinblomstvand: Et naturligt middel til hudpleje
Hjemmemidler mod tandsten på tænderne
Det bedste middel mod tandsten er forebyggelse, og ordentlige tandhygiejnevaner hjælper med at forhindre forekomsten af denne plak.
Specialister anbefaler, at man børster tænderne efter hvert måltid eller mindst to gange om dagen. Tandtråd eller brug af interdentalbørster mindst en gang om dagen hjælper også med at forhindre forekomsten af tandsten.
Ud over at opretholde gode tandhygiejnevaner er det vigtigt at besøge tandlægen med jævne mellemrum for at få en grundig rengøring. Du kan dog også drage fordel af specifikke hjemmemidler for at forebygge tandsten på tænderne.
Natron til at fjerne tandsten naturligt

Mange mennesker bruger natron blandet med citron eller salt for at styrke deres tandhygiejne og holde farven på tænderne pæn, på grund af disse ingrediensers egenskaber. Det anbefales også at blande det med en smule vand, da smagen kan være lidt intens.
Vær dog forsigtig med brugen, da det kan skade emaljen på dine tænder.
Ingredienser
- En spiseskefuld natron (10 g).
- En teskefuld salt (5 g).
- Vand (så meget som nødvendigt).
Fremgangsmåde
- Bland natron og salt i en skål.
- Dyp derefter din tandbørste i varmt vand.
- Dyp tandbørsten i natron- og saltblandingen.
- Børst som sædvanligt, men prøv at fokusere på de områder, hvor tandsten har en tendens til at samle sig mest.
- Gentag det mindst to gange om dagen (morgen og aften) for at opnå resultater.
Citron til at fjerne tandsten naturligt
Dette er et andet af de bedste tandblegemidler. Desuden har denne citrusfrugt antibakterielle egenskaber, som er nyttige i kampen mod tandsten.
Efter brug skal du skylle godt, så det ikke giver pletter på huden omkring munden, når den er i kontakt med solen.
Syren i citronen kan skade eller svække tænderne, så du bør højst bruge denne opskrift en gang om ugen.
Ingredienser
- Saften fra ½ citron.
- 125 ml varmt vand.
Fremgangsmåde
- Fyld det varme vand i en kop. Tilsæt citronsaft.
- Rør rundt.
- Skyl det rundt i munden, inden du går i seng.
- Skyl til sidst med lidt varmt vand, så du ikke får en sur smag i munden.
Brintoverilte
Dette husholdningsmiddel kan også bruges til at lysne tænderne og fjerne tandsten naturligt. Du kan bruge dette hjemmemiddel op til tre gange om ugen, altid som en mundskyl efter rutinemæssig tandbørstning.
Ingredienser
- 6s ml varmt vand.
- To spiseskefulde brintoverilte (20 ml).
Fremgangsmåde
- Kom varmt vand i et glas, og tilsæt brintoverilte. Rør rundt for at blande.
- Tag derefter noget af vandet, og skyl munden i mindst 1 minut.
- Spyt blandingen ud, og gentag i endnu et minut.
- Skyl med koldt vand.
Sesamfrø

Disse frø er ideelle til at fjerne ophobet snavs på tænderne.
- Du skal blot tage en skefuld af dem og tygge dem langsomt i et minut eller to.
- Spyt dem derefter ud, og massér tænderne ved hjælp af en tidligere fugtet tandbørste.
- Til sidst skylles med vand.
Persille til at fjerne tandsten naturligt

Denne aromatiske urt, der bruges i mange opskrifter som smagsgiver, kan også hjælpe med at bekæmpe ophobning af tandsten på tandkødet. Et af de mest enkle midler er som følger:
Ingredienser
- En håndfuld persilleblade (20 g).
- En spiseskefuld vand (10 ml).
Fremgangsmåde
- Vask og hak persillebladene fint.
- Bland dem derefter med vand til en pasta.
- Kom blandingen på dine tænder, og lad den sidde i ca. 5 minutter.
- Skyl derefter med rigelige mængder varmt vand.
Frugter til at fjerne tandsten naturligt fra tænderne

Tro det eller ej, men visse frugter kan blege vores tænder og fjerne gammelt tandsten. For at denne metode skal virke, skal man spise dem rå og bide i dem (ikke skære dem med en kniv).
Æble, melon og jordbær er tre perfekte alternativer til at få sundt tandkød, undgå ophobning af mad og forhindre blødning, der opstår ved tandbørstning. Det skal dog bemærkes, at æblerne skal spises med skræl for at opnå den ønskede effekt.
Desuden kan både jordbær og tomater bruges ved blot at skære dem i skiver og gnide dem direkte på tænderne før hvert måltid.
Nyere undersøgelser viser, at et konsekvent og langvarigt forbrug af frugt er forbundet med en reduktion af dannelsen af tandsten. Det skyldes, at frugt fremmer forsuring af tandplak, hvilket forhindrer ophobning heraf.
En anden hjemmelavet måde at bekæmpe tandsten på er at gnide indersiden af skallen på visse frugter (appelsin og banan) mod tænderne i ca. 2-3 minutter før og efter at have spist. Så smid dem ikke væk, og udnyt dem til at passe på dine tænder!
Alle citerede kilder blev grundigt gennemgået af vores team for at sikre deres kvalitet, pålidelighed, aktualitet og validitet. Bibliografien i denne artikel blev betragtet som pålidelig og af akademisk eller videnskabelig nøjagtighed.
- Al‐Hashedi, A. A., Dubreuil, N., Schwinghamer, T., Dorzhiyeva, S., Anweigi, L., Emami, E., & Tamimi, F. (2022). Aragonite toothpaste for management of dental calculus: A double‐blinded randomized controlled clinical trial. Clinical and Experimental Dental Research, 8(4), 863-874. https://onlinelibrary.wiley.com/doi/abs/10.1002/cre2.559
- American Dental Association (ADA). (2021). Floss/Interdental Cleaners. https://www.ada.org/resources/ada-library/oral-health-topics/floss/
- Benahmed, A. G., Gasmi, A., Dadar, M., Arshad, M., & Bjørklund, G. (2021). The role of sugar-rich diet and salivary proteins in dental plaque formation and oral health. Journal of oral biosciences, 63(2), 134-141. https://www.sciencedirect.com/science/article/pii/S1349007921000116
- Brooks, J. K., Bashirelahi, N., & Reynolds, M. A. (2017). Charcoal and charcoal-based dentifrices: A literature review. The Journal of the American Dental Association, 148(9), 661-670. https://www.sciencedirect.com/science/article/pii/S0002817717304129
- Deus, F. P., & Ouanounou, A. (2022). Chlorhexidine in dentistry: pharmacology, uses, and adverse effects. International dental journal, 72(3), 269-277. https://www.sciencedirect.com/science/article/pii/S0020653922000259
- Duane, B., Yap, T., Neelakantan, P., Anthonappa, R., Bescos, R., McGrath, C., … & Brookes, Z. (2023). Mouthwashes: alternatives and future directions. international dental journal. https://www.sciencedirect.com/science/article/pii/S0020653923004574
- James, P., Worthington, H. V., Parnell, C., Harding, M., Lamont, T., Cheung, A., … & Riley, P. (2017). Chlorhexidine mouthrinse as an adjunctive treatment for gingival health. Cochrane Database of Systematic Reviews, (3). https://www.cochranelibrary.com/cdsr/doi/10.1002/14651858.CD008676.pub2/abstract
- Myneni, S. R. (2017). Effect of baking soda in dentifrices on plaque removal. The Journal of the American Dental Association, 148(11), S4-S9. https://www.sciencedirect.com/science/article/pii/S0002817717308097
- Pandiyan, I., Rathinavelu, P. K., Arumugham, M. I., Srisakthi, D., & Balasubramaniam, A. (2022). Efficacy of Chitosan and Chlorhexidine Mouthwash on Dental Plaque and Gingival inflammation: a systematic review. Cureus, 14(3). https://www.ncbi.nlm.nih.gov/pmc/articles/PMC9014838/
- Peedikayil, F. C., Sreenivasan, P., & Narayanan, A. (2015). Effect of coconut oil in plaque related gingivitis—A preliminary report. Nigerian Medical Journal, 56(2), 143-147. https://journals.lww.com/nimj/fulltext/2015/56020/effect_of_coconut_oil_in_plaque_related_gingivitis.12.aspx
- Polatoglu, S. (s.f.) Toothpaste: overview. International Research in Dentistry. ISBN: 978-625-6971-22-6. https://www.researchgate.net/profile/Selin-Polatoglu/publication/369594309_toothpaste/links/6423eed5a1b72772e43503f1/toothpaste.pdf
- Ren, X., He, J., Cheng, R., Chen, Y., Xiang, Y., Zhang, Y., … & Hu, T. (2023). The efficacy and safety of oral irrigator on the control of dental plaque and gingivitis: a randomized, single-blind, parallel-group clinical trial. International Journal of Environmental Research and Public Health, 20(4), 3726. https://www.mdpi.com/1660-4601/20/4/3726
- Ruiz, M. A., de Souza Miola, L., Hori, G. M. R., & Catelan, A. (2021). Whitening effect of brushing with activated charcoal-based products on enamel: Integrative review. Research, Society and Development, 10(15), e259101522809-e259101522809. https://rsdjournal.org/index.php/rsd/article/view/22809
- Van der Weijden, F. A., & Slot, D. E. (2015). Efficacy of homecare regimens for mechanical plaque removal in managing gingivitis a meta review. Journal of clinical periodontology, 42, S77-S91. https://onlinelibrary.wiley.com/doi/abs/10.1111/jcpe.12359
- Zotarelli Filho, I. J. (2016). Influence of smok factors. International Journal of Current Research, 8(0). https://scholar.googleusercontent.com/scholar?q=cache:oF956BduwB0J:scholar.google.com/+INFLUENCE+OF+SMOKING+IN+CLINICAL+PRESEWITH+OTHER+CARDI1&hl=es&as_sdt=0,5&as_ylo=2016&as_yhi=2024
Denne tekst er kun til informationsformål og erstatter ikke konsultation med en professionel. Hvis du er i tvivl, så konsulter din specialist.







