Årsager til sort tandsten - Behandling og forebyggelse


Skrevet og kontrolleret af tandlæge Vanesa Evangelina Buffa
Mange bakterier og snavs kan samle sig på tænderne, hvis vi ikke har en ordentlig mundhygiejne. I denne artikel vil vi fortælle dig om tandsten, og hvorfor vi nogle gange oplever sort tandsten.
Tilstedeværelsen af denne mørke tandsten på tænderne og tandkødet påvirker ikke kun smilets udseende. Det kan også give anledning til mundsygdomme som tandkødsbetændelse og paradentose.
Derfor er det nødvendigt at fjerne sort tandsten, når den dukker op. Fjernelse af disse aflejringer bevarer sundheden og forbedrer æstetikken. Det kræver dog en tandlæge.
Hvad er tandsten?
Når bakterier, madrester og rester i munden ikke fjernes ordentligt ved hjælp af tandhygiejne, ophobes de på mundens overflader. Dette resulterer i en klæbrig film, der kaldes plak.
Hvis plak ikke fjernes ved tandbørstning og brug af tandtråd, fortsætter det med at opbygges og sætte sig på tænder og tandkød. Og med tiden forkalker og hærder de mineraler, der findes i munden, denne film. Det er sådan, det, vi kender som tandsten, opstår.
Hastigheden, hvormed bakteriel plak kan hærde, varierer fra person til person og kan endda ændre sig hos den samme person på forskellige stadier af livet. Men generelt er den gennemsnitlige forkalkningstid 10 til 12 dage.
Faktorer som tandtype, spyttets pH-værdi og mængden af calcium, fosfor og andre stoffer i spyttet har indflydelse på tandstenens dannelsesproces. Mundhygiejnevaner, adgang til tandpleje, tid siden sidste tandrensning, systemiske sygdomme, brug af visse medikamenter, kost og personens alder spiller også en rolle.
Tandsten dannes ved mineralisering af bakteriel plak. Det har dog en anden tekstur og konsistens, og det er ikke så let at fjerne. Børstning og brug af tandtråd er ikke nok til at fjerne det.
Tandstenens farve
Tandstenens farve afhænger i høj grad af, hvor gammel den er, og hvor den sidder. De mest almindelige områder, hvor bakteriel plak begynder at hærde, er tæt på de kanaler, som spyttet kommer ud af munden igennem. Det er på indersiden af de nederste fortænder og på ydersiden af kindtænderne.
Når tandstenen kun lige er dannet og befinder sig over tandkødsranden, er den lysere. I disse tilfælde kaldes det supragingival tandsten og har en gul eller lysebrun farve.
Når tandstenen er ældre og har ophobet sig, er det almindeligt, at den begynder at aflejre sig under tandkødet. Dette kaldes subgingival tandsten.
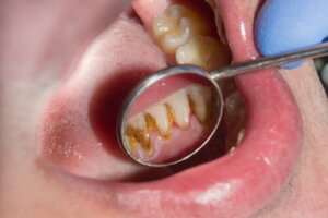
Subgingival tandsten og aflejringer, der har været i munden i lang tid, bliver mørkere. De kan derfor se brune, sorte eller grønne ud.
Hvad er årsagen til sort tandsten?
Sammensætningen af sort tandsten er den samme som for de lysere varianter. Men den indeholder også andre komponenter, der kommer fra nærliggende væsker.
Så ud over døde bakterier og mineraliserede spytproteiner er tandsten udsat for følgende:
- Blod og hæmatiske biprodukter: Betændt tandkød, der bløder, disponerer tandstenen for kontakt med hæmatiske stoffer, der har en tendens til at gøre den mørkere. Når tandstenen er under tandkødsranden, er mørk pigmentering med blod mere mærkbar.
- Gingival crevicular fluid: Dette er en væske, der udskilles af bindevævet og øges med tilstedeværelsen af bakteriel plak og betændelse i tandkødet.
- Eksterne stoffer: Kontakt med eksterne stoffer, der kommer ind i munden, kan fremme farvning og pigmentering af tandsten. Dets mørkfarvning kan skyldes hyppigt indtag af mørke drikke, såsom kaffe eller rødvin, og brug af tobak.
Men ud over disse faktorer skal du vide, at alle former for tandsten bliver mørkere og større med tiden.

Komplikationer ved sort tandsten
Tilstedeværelsen af sort tandsten og plak i munden har negative konsekvenser for mundhygiejnen. Begge dele virker irriterende på tandkødet og fremmer tandkødsbetændelse. Tandkødsvævet bliver hævet, smertefuldt, rødt og bløder let.
Hvis tandkødsbetændelse ikke behandles i tide, kan det udvikle sig til paradentose. Denne tilstand er mere alvorlig. Inflammation og infektion kompromitterer dybt det væv, der støtter tænderne. Det kan føre til løse tænder og endda tab af tænder.
Når sort tandsten ophobes under tandkødet, mellem tandkødet og tanden, fremmer det tilstedeværelsen og ophobningen af skadelige bakterier. Dette disponerer for udvikling af infektioner og pus inde i tandkødslommerne.
Paradentose er også en risikofaktor for det generelle helbred. Faktisk er denne tilstand i munden forbundet med komplikationer af diabetes, hjertesygdomme og luftvejssygdomme.
Derfor påvirker tilstedeværelsen af sort tandsten ikke kun mundhulen, men har konsekvenser i hele kroppen. Det skal også behandles i tide, så det ikke fortsætter med at forårsage skade.
Behandlingen af sort tandsten
Vi har allerede nævnt, at den eneste måde at fjerne sort tandsten på er ved hjælp af en tandlæge. Børstning og brug af tandtråd er ikke nok til at fjerne disse hårde aflejringer fra mundens overflader.
Tandlægen vil evaluere situationen, bestemme placeringen af tandstenen og diagnosticere de tilknyttede sygdomme. Ud fra dette vælges den mest hensigtsmæssige fremgangsmåde.
For at fjerne sort tandsten anvender tandlæger typisk det, der kaldes skalering og rodhøvling. Det er en procedure, der har til formål at fjerne bakteriel plak, tandsten og pigmenteringer, der er aflejret på tandoverflader og tandkødslommer.
Dette indgreb kombinerer brugen af manuelle værktøjer, kaldet curetter, med ultralydsinstrumenter. Sidstnævnte genererer mikrovibrationer, der bryder krystallerne i den mineraliserede plak.
Når sort tandsten ophobes inde i tandkødslommerne, i kontakt med tandkødet og tandrødderne, er det nødvendigt at bruge anæstesi for at undgå smerter under behandlingen. Tandlægen udfører derefter en skalering.
Denne procedure indebærer skalering, polering og udglatning af tandrødderne. Tandsten og subgingival bakteriel plak fjernes, og inflammatorisk væv inde i tandkødet kasseres.
Til sidst rengøres tændernes ydre område med roterende instrumenter for at fjerne urenheder, pigmenter og uregelmæssigheder. Det efterlader en glat overflade, som forhindrer, at bakteriel plak sætter sig fast, og at problemet opstår igen.
Afhængigt af mængden af akkumuleret sort tandsten og det parodontale vævs tilstand kan det være nødvendigt med en eller flere skaleringer og rodhøvlinger. I mere alvorlige tilfælde kan kombinationen med parodontale operationer være passende.
Resultaterne
Gennem disse procedurer, der fjerner sort tandsten, kan en persons smil igen se smukt og behageligt ud. Desuden kan tandkødet og det parodontale væv komme sig.
Når al den sorte tandsten er blevet fjernet fra munden, vil tandlægen give patienten nogle hygiejniske foranstaltninger, der skal udføres derhjemme. Hvis tilfældet berettiger det, vil tandlægen desuden ordinere antibiotika, antiseptiske midler og antiinflammatoriske midler for at forbedre udviklingen af processen.
Med jævne mellemrum vil det være nødvendigt at revurdere mundens tilstand og udføre vedligeholdelsesbehandlinger. Nogle mennesker har en større tendens til at danne tandsten.
Kunne du lide denne artikel? Du vil måske også gerne læse: Hvad er tandkødssmil, og hvordan behandles det?
Forebyggelse af sort tandsten
Som man siger: “Det er bedre at forebygge end at behandle.” Selvom sort tandsten kan fjernes og behandles med en simpel behandling som skalering og rodhøvling, er det ideelt at undgå behovet for denne behandling i første omgang.
Målet er at reducere varigheden af bakteriel plak på orale overflader. På denne måde vil der ikke være nogen tandsten uden plak, der kan forkalke.
Oprethold korrekt mundhygiejne
Korrekt mundhygiejne er afgørende for at forhindre dannelsen af sort tandsten. Her er korrekt og hyppig børstning af tænder og tandkød vigtigt. Det er det, der gør det muligt at fjerne den bakterielle plak, der dannes.
Det er nødvendigt at børste alle sider af alle de elementer, der findes i munden, og det område, hvor tænderne møder tandkødet. Glem heller ikke at tage tungen med i slutningen af rengøringen.
Dette skal gøres med en blød børste og fluortandpasta. Der findes også alternative former for tandpasta, der er specielt udviklet til tandstenskontrol. Tandlægen kan anbefale disse produkter til patienter, der producerer en stor mængde tandsten.
Rengøringen skal vare mindst to minutter. Det skal gøres 2 eller 3 gange hver dag eller efter hvert måltid.
Derudover er det også nødvendigt at bruge tandtråd en gang om dagen. Dette element bruges til at rengøre områderne mellem tænderne, hvor tandbørsten ikke kan nå. Mundskyl og mellemrumsbørster kan være til stor hjælp.
Tandlægen kan foreslå brug af særlig mundskyl. Disse specielle væsker med antiseptiske midler eller fluor hjælper med at kontrollere plakdannelse, forhindre tandsten og fuldende hygiejnerutinen.
Vær opmærksom på din kost
Bakterier, der danner plak, drager fordel af sukker og kulhydrater i vores kost for at vokse og formere sig. Ved at være opmærksom på den type mad, vi spiser, hjælper vi med at holde de skadelige bakterier under kontrol.
Det anbefales derfor at undgå eller i det mindste reducere indtaget af fødevarer, der fremmer bakteriernes spredning. Snacks, slik, søde sager, læskedrikke og ultraforarbejdede fødevarer er nogle eksempler.

Undgå rygning
Rygning øger chancerne for at få sort tandsten i munden, blandt mange andre skadelige virkninger.
Mundtørhed og øget bakteriel plak er hyppige problemer hos rygere. Med dette er dannelsen og ophobningen af sort tandsten en almindelig konsekvens. Pigmenterne fra de kemikalier, der findes i cigaretter, gør tandstenen mørkere hurtigere.
Kontroller mundtørhed
Spyt er en meget vigtig væske for at opretholde mundhygiejnen. Det hjælper med at rengøre tandoverfladerne, begrænser væksten af bakterier og neutraliserer de syrer, de producerer.
Men aldring, brug af visse lægemidler såsom beroligende midler, antidepressiva, blodtrykssænkende midler og onkologiske behandlinger kan forårsage mundtørhed. Xerostomi kan også skyldes hyppigt indtag af alkoholiske drikke eller rygning.
At drikke rigeligt med vand, holde sig hydreret og tygge tyggegummi er alternativer, der hjælper med at modvirke virkningerne af dette problem. Hvis det er muligt, er det også en god strategi at udskifte medicin, der forårsager mundtørhed.
Vi tror også, at du vil være interesseret i at læse dette: Hvad er tandforsegling, og hvad bruges det til?
Besøg tandlægen regelmæssigt
Regelmæssige tandlægebesøg hvert år hjælper med at opdage og behandle eventuelle problemer i munden i tide. Hvis der opstår tandsten, kan den fjernes med det samme, før den bliver ved med at hobe sig op og forårsage uønskede konsekvenser.
Rådgivning om børsteteknikker og anbefalinger om brug af bestemte tandhygiejneprodukter er almindeligt på tandklinikken. Tandlægen uddanner også patienten i, hvordan man passer på sin mund og holder den sund.
Professionelle tandrensninger spiller også en meget vigtig rolle i kontrollen af bakteriel plak. De gør det muligt tidligt at fjerne plakaflejringer, tandsten og pigmenter, der dannes, og som tandbørsten ikke kan nå.
Intet sort tandsten
Et smil dækket af mørke aflejringer er ikke det bedste førstehåndsindtryk. Men som vi fortalte dig, påvirker sort tandsten ikke kun æstetikken og udseendet af munden. Den disponerer også for andre sygdomme.
Når der kommer sort tandsten, er det nødvendigt med tandbehandling. Og selv om det er en simpel procedure, er det altid at foretrække at undgå det. En god mundhygiejne forebygger sort tandsten og forbedrer dit smils udseende og sundhed.
Mange bakterier og snavs kan samle sig på tænderne, hvis vi ikke har en ordentlig mundhygiejne. I denne artikel vil vi fortælle dig om tandsten, og hvorfor vi nogle gange oplever sort tandsten.
Tilstedeværelsen af denne mørke tandsten på tænderne og tandkødet påvirker ikke kun smilets udseende. Det kan også give anledning til mundsygdomme som tandkødsbetændelse og paradentose.
Derfor er det nødvendigt at fjerne sort tandsten, når den dukker op. Fjernelse af disse aflejringer bevarer sundheden og forbedrer æstetikken. Det kræver dog en tandlæge.
Hvad er tandsten?
Når bakterier, madrester og rester i munden ikke fjernes ordentligt ved hjælp af tandhygiejne, ophobes de på mundens overflader. Dette resulterer i en klæbrig film, der kaldes plak.
Hvis plak ikke fjernes ved tandbørstning og brug af tandtråd, fortsætter det med at opbygges og sætte sig på tænder og tandkød. Og med tiden forkalker og hærder de mineraler, der findes i munden, denne film. Det er sådan, det, vi kender som tandsten, opstår.
Hastigheden, hvormed bakteriel plak kan hærde, varierer fra person til person og kan endda ændre sig hos den samme person på forskellige stadier af livet. Men generelt er den gennemsnitlige forkalkningstid 10 til 12 dage.
Faktorer som tandtype, spyttets pH-værdi og mængden af calcium, fosfor og andre stoffer i spyttet har indflydelse på tandstenens dannelsesproces. Mundhygiejnevaner, adgang til tandpleje, tid siden sidste tandrensning, systemiske sygdomme, brug af visse medikamenter, kost og personens alder spiller også en rolle.
Tandsten dannes ved mineralisering af bakteriel plak. Det har dog en anden tekstur og konsistens, og det er ikke så let at fjerne. Børstning og brug af tandtråd er ikke nok til at fjerne det.
Tandstenens farve
Tandstenens farve afhænger i høj grad af, hvor gammel den er, og hvor den sidder. De mest almindelige områder, hvor bakteriel plak begynder at hærde, er tæt på de kanaler, som spyttet kommer ud af munden igennem. Det er på indersiden af de nederste fortænder og på ydersiden af kindtænderne.
Når tandstenen kun lige er dannet og befinder sig over tandkødsranden, er den lysere. I disse tilfælde kaldes det supragingival tandsten og har en gul eller lysebrun farve.
Når tandstenen er ældre og har ophobet sig, er det almindeligt, at den begynder at aflejre sig under tandkødet. Dette kaldes subgingival tandsten.
Subgingival tandsten og aflejringer, der har været i munden i lang tid, bliver mørkere. De kan derfor se brune, sorte eller grønne ud.
Hvad er årsagen til sort tandsten?
Sammensætningen af sort tandsten er den samme som for de lysere varianter. Men den indeholder også andre komponenter, der kommer fra nærliggende væsker.
Så ud over døde bakterier og mineraliserede spytproteiner er tandsten udsat for følgende:
- Blod og hæmatiske biprodukter: Betændt tandkød, der bløder, disponerer tandstenen for kontakt med hæmatiske stoffer, der har en tendens til at gøre den mørkere. Når tandstenen er under tandkødsranden, er mørk pigmentering med blod mere mærkbar.
- Gingival crevicular fluid: Dette er en væske, der udskilles af bindevævet og øges med tilstedeværelsen af bakteriel plak og betændelse i tandkødet.
- Eksterne stoffer: Kontakt med eksterne stoffer, der kommer ind i munden, kan fremme farvning og pigmentering af tandsten. Dets mørkfarvning kan skyldes hyppigt indtag af mørke drikke, såsom kaffe eller rødvin, og brug af tobak.
Men ud over disse faktorer skal du vide, at alle former for tandsten bliver mørkere og større med tiden.

Komplikationer ved sort tandsten
Tilstedeværelsen af sort tandsten og plak i munden har negative konsekvenser for mundhygiejnen. Begge dele virker irriterende på tandkødet og fremmer tandkødsbetændelse. Tandkødsvævet bliver hævet, smertefuldt, rødt og bløder let.
Hvis tandkødsbetændelse ikke behandles i tide, kan det udvikle sig til paradentose. Denne tilstand er mere alvorlig. Inflammation og infektion kompromitterer dybt det væv, der støtter tænderne. Det kan føre til løse tænder og endda tab af tænder.
Når sort tandsten ophobes under tandkødet, mellem tandkødet og tanden, fremmer det tilstedeværelsen og ophobningen af skadelige bakterier. Dette disponerer for udvikling af infektioner og pus inde i tandkødslommerne.
Paradentose er også en risikofaktor for det generelle helbred. Faktisk er denne tilstand i munden forbundet med komplikationer af diabetes, hjertesygdomme og luftvejssygdomme.
Derfor påvirker tilstedeværelsen af sort tandsten ikke kun mundhulen, men har konsekvenser i hele kroppen. Det skal også behandles i tide, så det ikke fortsætter med at forårsage skade.
Behandlingen af sort tandsten
Vi har allerede nævnt, at den eneste måde at fjerne sort tandsten på er ved hjælp af en tandlæge. Børstning og brug af tandtråd er ikke nok til at fjerne disse hårde aflejringer fra mundens overflader.
Tandlægen vil evaluere situationen, bestemme placeringen af tandstenen og diagnosticere de tilknyttede sygdomme. Ud fra dette vælges den mest hensigtsmæssige fremgangsmåde.
For at fjerne sort tandsten anvender tandlæger typisk det, der kaldes skalering og rodhøvling. Det er en procedure, der har til formål at fjerne bakteriel plak, tandsten og pigmenteringer, der er aflejret på tandoverflader og tandkødslommer.
Dette indgreb kombinerer brugen af manuelle værktøjer, kaldet curetter, med ultralydsinstrumenter. Sidstnævnte genererer mikrovibrationer, der bryder krystallerne i den mineraliserede plak.
Når sort tandsten ophobes inde i tandkødslommerne, i kontakt med tandkødet og tandrødderne, er det nødvendigt at bruge anæstesi for at undgå smerter under behandlingen. Tandlægen udfører derefter en skalering.
Denne procedure indebærer skalering, polering og udglatning af tandrødderne. Tandsten og subgingival bakteriel plak fjernes, og inflammatorisk væv inde i tandkødet kasseres.
Til sidst rengøres tændernes ydre område med roterende instrumenter for at fjerne urenheder, pigmenter og uregelmæssigheder. Det efterlader en glat overflade, som forhindrer, at bakteriel plak sætter sig fast, og at problemet opstår igen.
Afhængigt af mængden af akkumuleret sort tandsten og det parodontale vævs tilstand kan det være nødvendigt med en eller flere skaleringer og rodhøvlinger. I mere alvorlige tilfælde kan kombinationen med parodontale operationer være passende.
Resultaterne
Gennem disse procedurer, der fjerner sort tandsten, kan en persons smil igen se smukt og behageligt ud. Desuden kan tandkødet og det parodontale væv komme sig.
Når al den sorte tandsten er blevet fjernet fra munden, vil tandlægen give patienten nogle hygiejniske foranstaltninger, der skal udføres derhjemme. Hvis tilfældet berettiger det, vil tandlægen desuden ordinere antibiotika, antiseptiske midler og antiinflammatoriske midler for at forbedre udviklingen af processen.
Med jævne mellemrum vil det være nødvendigt at revurdere mundens tilstand og udføre vedligeholdelsesbehandlinger. Nogle mennesker har en større tendens til at danne tandsten.
Kunne du lide denne artikel? Du vil måske også gerne læse: Hvad er tandkødssmil, og hvordan behandles det?
Forebyggelse af sort tandsten
Som man siger: “Det er bedre at forebygge end at behandle.” Selvom sort tandsten kan fjernes og behandles med en simpel behandling som skalering og rodhøvling, er det ideelt at undgå behovet for denne behandling i første omgang.
Målet er at reducere varigheden af bakteriel plak på orale overflader. På denne måde vil der ikke være nogen tandsten uden plak, der kan forkalke.
Oprethold korrekt mundhygiejne
Korrekt mundhygiejne er afgørende for at forhindre dannelsen af sort tandsten. Her er korrekt og hyppig børstning af tænder og tandkød vigtigt. Det er det, der gør det muligt at fjerne den bakterielle plak, der dannes.
Det er nødvendigt at børste alle sider af alle de elementer, der findes i munden, og det område, hvor tænderne møder tandkødet. Glem heller ikke at tage tungen med i slutningen af rengøringen.
Dette skal gøres med en blød børste og fluortandpasta. Der findes også alternative former for tandpasta, der er specielt udviklet til tandstenskontrol. Tandlægen kan anbefale disse produkter til patienter, der producerer en stor mængde tandsten.
Rengøringen skal vare mindst to minutter. Det skal gøres 2 eller 3 gange hver dag eller efter hvert måltid.
Derudover er det også nødvendigt at bruge tandtråd en gang om dagen. Dette element bruges til at rengøre områderne mellem tænderne, hvor tandbørsten ikke kan nå. Mundskyl og mellemrumsbørster kan være til stor hjælp.
Tandlægen kan foreslå brug af særlig mundskyl. Disse specielle væsker med antiseptiske midler eller fluor hjælper med at kontrollere plakdannelse, forhindre tandsten og fuldende hygiejnerutinen.
Vær opmærksom på din kost
Bakterier, der danner plak, drager fordel af sukker og kulhydrater i vores kost for at vokse og formere sig. Ved at være opmærksom på den type mad, vi spiser, hjælper vi med at holde de skadelige bakterier under kontrol.
Det anbefales derfor at undgå eller i det mindste reducere indtaget af fødevarer, der fremmer bakteriernes spredning. Snacks, slik, søde sager, læskedrikke og ultraforarbejdede fødevarer er nogle eksempler.

Undgå rygning
Rygning øger chancerne for at få sort tandsten i munden, blandt mange andre skadelige virkninger.
Mundtørhed og øget bakteriel plak er hyppige problemer hos rygere. Med dette er dannelsen og ophobningen af sort tandsten en almindelig konsekvens. Pigmenterne fra de kemikalier, der findes i cigaretter, gør tandstenen mørkere hurtigere.
Kontroller mundtørhed
Spyt er en meget vigtig væske for at opretholde mundhygiejnen. Det hjælper med at rengøre tandoverfladerne, begrænser væksten af bakterier og neutraliserer de syrer, de producerer.
Men aldring, brug af visse lægemidler såsom beroligende midler, antidepressiva, blodtrykssænkende midler og onkologiske behandlinger kan forårsage mundtørhed. Xerostomi kan også skyldes hyppigt indtag af alkoholiske drikke eller rygning.
At drikke rigeligt med vand, holde sig hydreret og tygge tyggegummi er alternativer, der hjælper med at modvirke virkningerne af dette problem. Hvis det er muligt, er det også en god strategi at udskifte medicin, der forårsager mundtørhed.
Vi tror også, at du vil være interesseret i at læse dette: Hvad er tandforsegling, og hvad bruges det til?
Besøg tandlægen regelmæssigt
Regelmæssige tandlægebesøg hvert år hjælper med at opdage og behandle eventuelle problemer i munden i tide. Hvis der opstår tandsten, kan den fjernes med det samme, før den bliver ved med at hobe sig op og forårsage uønskede konsekvenser.
Rådgivning om børsteteknikker og anbefalinger om brug af bestemte tandhygiejneprodukter er almindeligt på tandklinikken. Tandlægen uddanner også patienten i, hvordan man passer på sin mund og holder den sund.
Professionelle tandrensninger spiller også en meget vigtig rolle i kontrollen af bakteriel plak. De gør det muligt tidligt at fjerne plakaflejringer, tandsten og pigmenter, der dannes, og som tandbørsten ikke kan nå.
Intet sort tandsten
Et smil dækket af mørke aflejringer er ikke det bedste førstehåndsindtryk. Men som vi fortalte dig, påvirker sort tandsten ikke kun æstetikken og udseendet af munden. Den disponerer også for andre sygdomme.
Når der kommer sort tandsten, er det nødvendigt med tandbehandling. Og selv om det er en simpel procedure, er det altid at foretrække at undgå det. En god mundhygiejne forebygger sort tandsten og forbedrer dit smils udseende og sundhed.
Alle citerede kilder blev grundigt gennemgået af vores team for at sikre deres kvalitet, pålidelighed, aktualitet og validitet. Bibliografien i denne artikel blev betragtet som pålidelig og af akademisk eller videnskabelig nøjagtighed.
- Baux Jiménez, G. (2008). Incidencia del cálculo dental en piezas del maxilar superior (Doctoral dissertation, Universidad de Guayaquil. Facultad Piloto de Odontología. Escuela de Postgrado” Dr. José Apolo Pineda”).
- Rivas Almonte, U. O. (2004). Dosaje de calcio y fósforo en saliva estimulada en relación al cálculo supragingival, en personas sanas.
- Caballero, A., Ricaurte, M., & Conrado, C. (2011). Cálculo dental: una revisión de literatura y presentación de una condición inusual. Acta odontológica venezolana, 49(3).
- Chaguay Alvarado, J. S. (2021). El tabaquismo y sus consecuencias en la cavidad bucal (Bachelor’s thesis, Universidad de Guayaquil. Facultad Piloto de Odontología).
- ANATOMOFISIOMICROBIOLÓGICOS, A. C. Y. (2006). El surco gingival Aspectos clínicos y anatomofisiomicrobiológicos. Odous Científica, 7(2).
- Pérez, A. J. S. (2008). Gingivectomia y curetaje gingival. Labor dental clínica: Avances clínicos en odontoestomatología, 9(1), 24-28.
- Mosquera Tacuri, M. J. (2019). Tratamiento de bolsas periodontales con raspado y alisado radicular campo abierto (Bachelor’s thesis, Universidad de Guayaquil. Facultad Piloto de Odontología).
- Rodríguez, J. A. L., Casana, S. T. V., & Alejandro, M. G. P. (2020). Efectividad de la clorhexidina y aceites esenciales asociados al raspado y alisado radicular en el tratamiento de periodontitis crónica. Ciencias de la salud, 18(3), 3.
- Bernardo Ricardo, P. B., Clara, O. M., & Walkyria del Carmen, G. R. (2021, March). Efectividad de antimicrobianos como coadyuvantes del raspado y alisado radicular en la periodontitis del adulto. In EMPREFARMA PINAR 2021.
- Badal, C. F. (2014). Evaluación de la capacidad de un nuevo colutorio de inhibir la formación del cálculo dental supragingival (Doctoral dissertation, Universitat de València).
- Llena, C., Forner, L., & Vento, C. (2009). Anticalculus efficacy of a new dentifrice. Quintessence International, 40(6).
Denne tekst er kun til informationsformål og erstatter ikke konsultation med en professionel. Hvis du er i tvivl, så konsulter din specialist.







