Akut koronart syndrom (ACS)

Akut koronart syndrom eller ACS opstår, når blodstrømmen til hjertet reduceres drastisk. I de fleste tilfælde er det forårsaget af brud på atheromatøs plak i koronararterierne.
Atheromatøs plak er unormale ophobninger af materialer i blodkar – også kendt som åreforkalkning. Frigørelsen af et fragment af atheromet udløser dannelse af en blodprop (trombe). Derefter forekommer total eller delvis blokering af en koronararterie.
Koronararterierne er de vigtigste blodkar, der forsyner hjertet. Derfor resulterer denne forhindring i formindsket blodtilførsel til hjertet. Dette fører til iskæmisk hjerte-kar-sygdomme.
Dette er den vigtigste årsag til ACS. Nogle andre ting kan imidlertid også føre til det.
Disse kan omfatte følgende:
- Kawasaki sygdom
- Leddegigt
- Traume
- Koronar trombose
- Hyperkoagulerbare tilstande
- Arterielle embolismer
- Spontan koronararteriedissektion
- Medfødte afvigelser.
Kliniske manifestationer af akut koronart syndrom (ACS)

Brystsmerter er det vigtigste tegn på ACS. Andre symptomer kan dog også forekomme.
Det vigtigste symptom på ACS er brystsmerter, der manifesterer sig rundt om brystbenet eller maven. Derudover kan denne smerte sprede sig til områder såsom skuldre, nakke eller kæbe.
Smerten er pludselig og bliver mere intens, som tiden går. Typisk når den sit højdepunkt efter to til fem minutter. Episoderne kan dog undertiden være intermitterende.
Andre symptomer er kvalme, opkast, mavesmerter eller svimmelhed. Derudover kan nogle patienter lide af lavt blodtryk, svedeture, bleghed og uregelmæssig puls.
Hos unge patienter mellem 25 og 40 år og hos ældre patienter over 75 år kan det kliniske billede imidlertid være atypisk og uspecifikt. Når det er sagt, kan det manifestere sig som epigastrisk smerte, følelse af fordøjelsesbesvær, træthed eller synkope.
Diagnose af akut koronart syndrom
Lægerne diagnosticerer ACS, efter en patient oplever brystsmerter med mistanke om iskæmi. I disse tilfælde laver lægen nogle yderligere tests for at afgøre sygdommens tilstedeværelse og sværhedsgrad.
Vi vil nu se på disse test.
Elektrokardiogram

Generelt er en elektrokardiogramtest den diagnostiske test, der bruges til hjerteproblemer.
Dette er en medicinsk test, der registrerer hjertets elektriske aktivitet i hvert hjerteslag. Den bruger en grafisk repræsentation til at vise den elektriske stimulering af atrium og ventrikler (hjertets bevægelse).
I tilfælde af mistanke skal en læge udføre et elektrokardiogram inden for de første ti minutter efter vurderingen. Hvis resultaterne er entydige, men der stadig ikke findes kliniske bevis, anbefaler eksperter, at læger gentager elektrokardiogrammet hvert 15. til 30. minut for at fortsætte evalueringen.
Hjerteenzymer
Derudover giver blod-prøver mulighed for, at læger kan analysere hjerteenzymer, der indikerer tilstedeværelsen af myokardisk nekrose. Hvis markørerne for myokardisk nekrose – troponiner og kreatinkinase – MB-masse – er høje, bør den medicinske fagmand mistænke myokardieinfarkt (Blodprop i hjertet).
Specialister anbefaler, at læger analyserer disse markører i løbet af de første 60 minutter.
Fraværet af disse markører under en indledende analyse udelukker dog ikke myokardieskade. Derfor bør læger gentage testen seks og tolv timer efter manifestationen af brystsmerter.
Gå ikke glip af: 8 fødevarer der kan forhindre et slagtilfælde
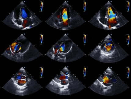
Ekkokardiogram

Som det sidste giver ekkokardiogrammer eller hjertesonogrammer medicinske fagfolk mulighed for at studere hjertet mere detaljeret.
Ekkokardiogrammet er en meget populær medicinsk test. Dette skyldes, at den giver bevægelige billeder af hjertet. Således kan den evaluere status for hjertets kamre og deres bevægelser for at bekræfte eller udelukke iskæmi.
Derudover evaluerer den også hjertestørrelse og styrke og tilstanden af væggene i hjertets kamre. Generelt er det en ikke-invasiv test, der ikke indebærer nogen risiko for patienten. Dette skyldes, at den bruger ultralyd til at få hjertebilleder.
Hvis lægen bruger denne test, udelukker fraværet af bevægelsesforstyrrelser i hjertevæggen tilstedeværelsen af iskæmi. Når alt kommer til alt, er eksistensen af bevægelsesforstyrrelser ikke unik for akut koronart syndrom. Af den grund skal testresultaterne og symptomerne vurderes i sammenhæng.
Andre tests for akut koronart syndrom
Nogle gange kan læger anbefale en koronar angiografi. Dette er en test, der bruger et kontrastmiddel og røntgenstråler til at observere, hvordan blodet strømmer gennem hjertet.
Derudover kan læger gennemføre andre tests for at diagnosticere patienten. Alt i alt inkluderer disse en hjertestresstest, radionuklid-hjertestress-test og et trænings-ekkokardiogram.
Akut koronart syndrom eller ACS opstår, når blodstrømmen til hjertet reduceres drastisk. I de fleste tilfælde er det forårsaget af brud på atheromatøs plak i koronararterierne.
Atheromatøs plak er unormale ophobninger af materialer i blodkar – også kendt som åreforkalkning. Frigørelsen af et fragment af atheromet udløser dannelse af en blodprop (trombe). Derefter forekommer total eller delvis blokering af en koronararterie.
Koronararterierne er de vigtigste blodkar, der forsyner hjertet. Derfor resulterer denne forhindring i formindsket blodtilførsel til hjertet. Dette fører til iskæmisk hjerte-kar-sygdomme.
Dette er den vigtigste årsag til ACS. Nogle andre ting kan imidlertid også føre til det.
Disse kan omfatte følgende:
- Kawasaki sygdom
- Leddegigt
- Traume
- Koronar trombose
- Hyperkoagulerbare tilstande
- Arterielle embolismer
- Spontan koronararteriedissektion
- Medfødte afvigelser.
Kliniske manifestationer af akut koronart syndrom (ACS)

Brystsmerter er det vigtigste tegn på ACS. Andre symptomer kan dog også forekomme.
Det vigtigste symptom på ACS er brystsmerter, der manifesterer sig rundt om brystbenet eller maven. Derudover kan denne smerte sprede sig til områder såsom skuldre, nakke eller kæbe.
Smerten er pludselig og bliver mere intens, som tiden går. Typisk når den sit højdepunkt efter to til fem minutter. Episoderne kan dog undertiden være intermitterende.
Andre symptomer er kvalme, opkast, mavesmerter eller svimmelhed. Derudover kan nogle patienter lide af lavt blodtryk, svedeture, bleghed og uregelmæssig puls.
Hos unge patienter mellem 25 og 40 år og hos ældre patienter over 75 år kan det kliniske billede imidlertid være atypisk og uspecifikt. Når det er sagt, kan det manifestere sig som epigastrisk smerte, følelse af fordøjelsesbesvær, træthed eller synkope.
Diagnose af akut koronart syndrom
Lægerne diagnosticerer ACS, efter en patient oplever brystsmerter med mistanke om iskæmi. I disse tilfælde laver lægen nogle yderligere tests for at afgøre sygdommens tilstedeværelse og sværhedsgrad.
Vi vil nu se på disse test.
Elektrokardiogram

Generelt er en elektrokardiogramtest den diagnostiske test, der bruges til hjerteproblemer.
Dette er en medicinsk test, der registrerer hjertets elektriske aktivitet i hvert hjerteslag. Den bruger en grafisk repræsentation til at vise den elektriske stimulering af atrium og ventrikler (hjertets bevægelse).
I tilfælde af mistanke skal en læge udføre et elektrokardiogram inden for de første ti minutter efter vurderingen. Hvis resultaterne er entydige, men der stadig ikke findes kliniske bevis, anbefaler eksperter, at læger gentager elektrokardiogrammet hvert 15. til 30. minut for at fortsætte evalueringen.
Hjerteenzymer
Derudover giver blod-prøver mulighed for, at læger kan analysere hjerteenzymer, der indikerer tilstedeværelsen af myokardisk nekrose. Hvis markørerne for myokardisk nekrose – troponiner og kreatinkinase – MB-masse – er høje, bør den medicinske fagmand mistænke myokardieinfarkt (Blodprop i hjertet).
Specialister anbefaler, at læger analyserer disse markører i løbet af de første 60 minutter.
Fraværet af disse markører under en indledende analyse udelukker dog ikke myokardieskade. Derfor bør læger gentage testen seks og tolv timer efter manifestationen af brystsmerter.
Gå ikke glip af: 8 fødevarer der kan forhindre et slagtilfælde
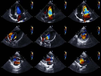
Ekkokardiogram

Som det sidste giver ekkokardiogrammer eller hjertesonogrammer medicinske fagfolk mulighed for at studere hjertet mere detaljeret.
Ekkokardiogrammet er en meget populær medicinsk test. Dette skyldes, at den giver bevægelige billeder af hjertet. Således kan den evaluere status for hjertets kamre og deres bevægelser for at bekræfte eller udelukke iskæmi.
Derudover evaluerer den også hjertestørrelse og styrke og tilstanden af væggene i hjertets kamre. Generelt er det en ikke-invasiv test, der ikke indebærer nogen risiko for patienten. Dette skyldes, at den bruger ultralyd til at få hjertebilleder.
Hvis lægen bruger denne test, udelukker fraværet af bevægelsesforstyrrelser i hjertevæggen tilstedeværelsen af iskæmi. Når alt kommer til alt, er eksistensen af bevægelsesforstyrrelser ikke unik for akut koronart syndrom. Af den grund skal testresultaterne og symptomerne vurderes i sammenhæng.
Andre tests for akut koronart syndrom
Nogle gange kan læger anbefale en koronar angiografi. Dette er en test, der bruger et kontrastmiddel og røntgenstråler til at observere, hvordan blodet strømmer gennem hjertet.
Derudover kan læger gennemføre andre tests for at diagnosticere patienten. Alt i alt inkluderer disse en hjertestresstest, radionuklid-hjertestress-test og et trænings-ekkokardiogram.
Alle citerede kilder blev grundigt gennemgået af vores team for at sikre deres kvalitet, pålidelighed, aktualitet og validitet. Bibliografien i denne artikel blev betragtet som pålidelig og af akademisk eller videnskabelig nøjagtighed.
- Cabrera S, Serrano I, Sans J, Bardají A. Protocolo diagnóstico del dolor torácico agudo. En: Urgencias. Unidades de dolor torácico. Medicine 2009;10(37)2511-4.
- Fauci, Braunwald, Kasper, Hauser, Longo, Jameson et al. Harrison, principios de Medicina Interna. Vol I-17a Edición. Mc Graw Hill Año 2009:87-91.
- Segura De La Cal, T., Carbonell San Román, S. A., & Zamorano Gómez, J. L. (2013). Síndrome coronario agudo. Medicine (Spain). https://doi.org/10.1016/S0304-5412(13)70608-5
- Sociedad Española de Cardiología. (2017). Proceso asistencial simplificado del síndrome coronario agudo. Sociedad Española de Cardiología. https://doi.org/http://dx.doi.org/10.2139/
- Lee Th, Goldman L. Evaluation Of The Patient With Acte Chest Pain. New England Journal Med 2000;342:1187-95
Denne tekst er kun til informationsformål og erstatter ikke konsultation med en professionel. Hvis du er i tvivl, så konsulter din specialist.







