Årsagerne til fælles pulsårestamme


Bedømt og godkendt af bioteknolog Alejandro Duarte
Fælles pulsårestamme, eller truncus arteriosus communis, er en medfødt misdannelse. Den medfører, at kun en enkelt åre afgår fra hjertet, i stedet for to, og hjertet har ikke velformede ventrikler og atria. Med andre ord har en person en stor åre i stedet for to separate, der skal transportere blod til lungerne og resten af kroppen.
Dette er en sjælden hjertesygdom. Generelt er der en forekomst på 0,21-0,34% af mennesker, der er født med denne medfødte hjerteanomali.
Årsager til fælles pulsårestamme

I et normalt hjerte følger blod denne cyklus: Krop-hjerte-lunger-hjerte-krop. Når en person har en fælles pulsårestamme, følger blodet, der forlader hjertet, ikke den normale cyklus.
I disse tilfælde har hjertet ikke fire separate rum. I stedet er der kun et hulrum. Så der er hverken atria eller ventrikler, der adskiller blodet (afhængigt af dets oprindelse og destination, vel at mærke).
Derfor er der kun en fælles arterie. Der er heller ingen specifik vej for blod rigt på kuldioxid og heller ikke for iltet blod.
Et hjerte har typisk to adskilte veje: En for iltet blod og en anden for kuldioxidrigt blod.
En fælles pulsårestamme opstår i løbet fosterets udvikling, når babyens hjerte udvikler sig. Således er denne sygdom til stede på tidspunktet for fødslen, så det er et medfødt problem.
Årsagen til dette hjerteproblem er stadig ukendt i de fleste tilfælde. Vi kender dog til flere faktorer, der kan øge risikoen for en fælles pulsårestamme, herunder:
- En familiehistorie med medfødte hjerteproblemer.
- Børn med kromosomanomalier risikerer også at udvikle denne sygdom. Dette gælder især for dem med 22q11DS – deletions syndrom.
- Visse medikamenter taget under graviditet kan skade et foster.
- Kvinder, der får virussygdomme, såsom røde hunde, kan være mere tilbøjelige til at føde en baby med en fælles pulsårestamme.
Læs også: Lær symptomerne på hjertestop at kende
Hvad er symptomerne?
Hver patient kan opleve symptomer forskelligt. Der er dog nogle almindelige symptomer, der er fælles for babyer, der er ramt af denne sygdom.
De mest almindelige symptomer er:
- Cyanose (blåfarvning af huden)
- Træthed
- Sveden
- Kold hud
- Besværet, accelereret vejrtrækning
- Accelereret puls
- Tilstopning af luftveje
- Mangel på appetit
Imidlertid kan alle disse symptomer være almindelig for andre medicinske lidelser eller andre hjerteproblemer. Det er derfor meget vigtigt at konsultere lægen, hvis dit barn udviser nogen af disse symptomer.
Hvordan diagnosticeres det?

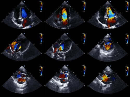
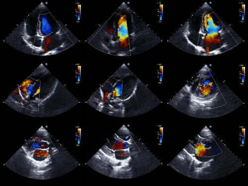
Læger kan normalt diagnosticere denne type afvigelser, før en baby bliver født. For at gøre det bruger de et ekkokardiogram (ultralydsscanning) af fosteret. Dette er en teknik, der bruger lydbølger til at genskabe et bevægeligt hjertebillede.
Takket være dette kan vi se hjertets udseende og undersøge dets funktion, mens en baby stadig er i livmoderen. Med disse oplysninger kan læger programmere behandling umiddelbart efter fødslen.
Der er også en puls oximeter-test. Dette er en simpel test, der måler mængden af ilt, der er til stede i blodbanen. Dette er ofte den første indikation om, at der er et hjerteproblem.
Læs også: 7 fødevarer du bør spise for at beskytte dit hjerte
Behandling af en fælles pulsårestamme
Desværre antyder data fra fælles pulsårestammeundersøgelser 50% dødelighed alene i løbet af den første levemåned. Efter dette er overlevelsesraten i det første leveår mellem 10-25%.
Derudover vil langt de fleste patienter, der overlever det første leveår, lide af alvorlig lungevaskulær sygdom, som ofte er irreversibelt.
Hvad angår behandling, vil babyer med denne sygdom have brug for åben hjerteoperation for at forhindre mulige komplikationer. Denne procedure udføres normalt i den første måned efter fødslen. Under operationen adskiller lægen aorta og lungearterier.
Dette er for at skabe en måde for blod at gå fra hjertets højre ventrikel ind i lungerne. De korrigerer også den interventrikulære kommunikation og enhver anden opdaget hjerteanomalitet.
Hvis operationen ikke korrigerer dette problem, kan babyen dø. Imidlertid er operation normalt vellykket.
Fælles pulsårestamme, eller truncus arteriosus communis, er en medfødt misdannelse. Den medfører, at kun en enkelt åre afgår fra hjertet, i stedet for to, og hjertet har ikke velformede ventrikler og atria. Med andre ord har en person en stor åre i stedet for to separate, der skal transportere blod til lungerne og resten af kroppen.
Dette er en sjælden hjertesygdom. Generelt er der en forekomst på 0,21-0,34% af mennesker, der er født med denne medfødte hjerteanomali.
Årsager til fælles pulsårestamme

I et normalt hjerte følger blod denne cyklus: Krop-hjerte-lunger-hjerte-krop. Når en person har en fælles pulsårestamme, følger blodet, der forlader hjertet, ikke den normale cyklus.
I disse tilfælde har hjertet ikke fire separate rum. I stedet er der kun et hulrum. Så der er hverken atria eller ventrikler, der adskiller blodet (afhængigt af dets oprindelse og destination, vel at mærke).
Derfor er der kun en fælles arterie. Der er heller ingen specifik vej for blod rigt på kuldioxid og heller ikke for iltet blod.
Et hjerte har typisk to adskilte veje: En for iltet blod og en anden for kuldioxidrigt blod.
En fælles pulsårestamme opstår i løbet fosterets udvikling, når babyens hjerte udvikler sig. Således er denne sygdom til stede på tidspunktet for fødslen, så det er et medfødt problem.
Årsagen til dette hjerteproblem er stadig ukendt i de fleste tilfælde. Vi kender dog til flere faktorer, der kan øge risikoen for en fælles pulsårestamme, herunder:
- En familiehistorie med medfødte hjerteproblemer.
- Børn med kromosomanomalier risikerer også at udvikle denne sygdom. Dette gælder især for dem med 22q11DS – deletions syndrom.
- Visse medikamenter taget under graviditet kan skade et foster.
- Kvinder, der får virussygdomme, såsom røde hunde, kan være mere tilbøjelige til at føde en baby med en fælles pulsårestamme.
Læs også: Lær symptomerne på hjertestop at kende
Hvad er symptomerne?
Hver patient kan opleve symptomer forskelligt. Der er dog nogle almindelige symptomer, der er fælles for babyer, der er ramt af denne sygdom.
De mest almindelige symptomer er:
- Cyanose (blåfarvning af huden)
- Træthed
- Sveden
- Kold hud
- Besværet, accelereret vejrtrækning
- Accelereret puls
- Tilstopning af luftveje
- Mangel på appetit
Imidlertid kan alle disse symptomer være almindelig for andre medicinske lidelser eller andre hjerteproblemer. Det er derfor meget vigtigt at konsultere lægen, hvis dit barn udviser nogen af disse symptomer.
Hvordan diagnosticeres det?

Læger kan normalt diagnosticere denne type afvigelser, før en baby bliver født. For at gøre det bruger de et ekkokardiogram (ultralydsscanning) af fosteret. Dette er en teknik, der bruger lydbølger til at genskabe et bevægeligt hjertebillede.
Takket være dette kan vi se hjertets udseende og undersøge dets funktion, mens en baby stadig er i livmoderen. Med disse oplysninger kan læger programmere behandling umiddelbart efter fødslen.
Der er også en puls oximeter-test. Dette er en simpel test, der måler mængden af ilt, der er til stede i blodbanen. Dette er ofte den første indikation om, at der er et hjerteproblem.
Læs også: 7 fødevarer du bør spise for at beskytte dit hjerte
Behandling af en fælles pulsårestamme
Desværre antyder data fra fælles pulsårestammeundersøgelser 50% dødelighed alene i løbet af den første levemåned. Efter dette er overlevelsesraten i det første leveår mellem 10-25%.
Derudover vil langt de fleste patienter, der overlever det første leveår, lide af alvorlig lungevaskulær sygdom, som ofte er irreversibelt.
Hvad angår behandling, vil babyer med denne sygdom have brug for åben hjerteoperation for at forhindre mulige komplikationer. Denne procedure udføres normalt i den første måned efter fødslen. Under operationen adskiller lægen aorta og lungearterier.
Dette er for at skabe en måde for blod at gå fra hjertets højre ventrikel ind i lungerne. De korrigerer også den interventrikulære kommunikation og enhver anden opdaget hjerteanomalitet.
Hvis operationen ikke korrigerer dette problem, kan babyen dø. Imidlertid er operation normalt vellykket.
Alle citerede kilder blev grundigt gennemgået af vores team for at sikre deres kvalitet, pålidelighed, aktualitet og validitet. Bibliografien i denne artikel blev betragtet som pålidelig og af akademisk eller videnskabelig nøjagtighed.
- Murphy, M. O., & Spray, T. L. (2016). Truncus arteriosus. In Surgery of Conotruncal Anomalies. https://doi.org/10.1007/978-3-319-23057-3_31
- Brown, J. W., Ruzmetov, M., Okada, Y., Vijay, P., & Turrentine, M. W. (2001). Truncus arteriosus repair: Outcomes, risk factors, reoperation and management. European Journal of Cardio-Thoracic Surgery. https://doi.org/10.1016/S1010-7940(01)00816-8
- Austin, E. H. (2003). Repair of truncus arteriosus. Operative Techniques in Thoracic and Cardiovascular Surgery. https://doi.org/10.1053/S1522-2942(03)00035-9
Denne tekst er kun til informationsformål og erstatter ikke konsultation med en professionel. Hvis du er i tvivl, så konsulter din specialist.







