Hvad er hypofyseadenom for en type svulst?


Bedømt og godkendt af læge Diego Pereira
En hypofyseadenom er en langsomt voksende, godartet svulst. Den opstår i cellerne, som omgiver hypofysen. Dette er en kirtel, som regulerer funktionen af andre kirtler i kroppen, hvilket gør den vigtig. En hypofyseadenom er dog relativt gængs og opstår hos omkring 1 ud af 1000 voksne.
Der er ingen forskel med hensyn til køn, eftersom det rammer mænd og kvinder på lige vis. Der er flere tilfælde hos personer i alderen mellem 30 og 40, når det kommer til alder som variabel.
Generelt, er det en godartet og langsomt voksende svulst. Dermed, er ondartede tumorer i dette område meget usædvanlige. Vi kender stadig ikke den egentlige årsag til hypofyseadenom. I nogle tilfælde, er det, dog, relateret til en genetisk sygdom ved navn multipel endokrin neoplasi.
Symptomer på hypofyseadenom

Det primære symptom, der kommer fra disse former for tumorer, er en ændring i udskillelsen af hormoner. Afhængig af tilfældet af svulst i hypofysen, kan de producere for meget af et eller flere hormoner. På grund af ændringen i det endokrine system, kan symptomerne være:
- Hyperthyroidisme: Skjoldbruskkirtlen producerer overdrevne mængder af hormoner (dette symptom er temmelig usædvanligt hos dem, der er ramt af hypofyseadenom).
- Cushings syndrom: Her er niveauet af kortisol, et hormon, højere end normalt.
- Akromegali: Børn med et højt niveau af væksthormonet kan lide af gigantisme. Hvis det sker hos en voksen, kan der være akromegali.
- Udskillelse og produktion af mælk hos både mænd og kvinder.
- Uregelmæssig menstruation hos kvinder grundet en ændring i kønshormoner.
I modsætning, opstår nogle specifikke symptomer, når der er en komprimering af hjernestrukturen på grund af en større svulst i hypofysen. Disse kan inkludere:
- Synsforstyrrelser, såsom dobbeltsyn, mindsket synsfelt, hængende øjenlåg eller ændringer i, hvordan man ser farver.
- Hovedpine.
- Træthed og døsighed.
- Klar udflåd fra næsen.
- Kvalme og opkast.
- Problemer med lugtesansen.
Disse symptomer kan være foruroligende, hvis de opstår pludseligt og samtidigt. De kan også føre til hypofyseinfarkt. Hvis du bemærker nogen af disse symptomer, så vær sikker på, at du går til en læge.
Du vil måske også være interesseret i at læse: Fordele ved rabarber til at forbedre skjoldbruskkirtlen
Typer af adenomer
Vi kan klassificere hypofyseadenomer ud fra deres størrelse på den følgende måde:
- Mikroadenomer: Disse er mindre end 10 mm.
- Makroadenomer: De er større end 10 mm. Denne type adenomer fører ofte til en stor mangel på en eller flere hypofysehormoner.
Man kan også klassificere dem ud fra, hvor vidt de udskiller hormoner eller ej. Ifølge disse kriterier, kan de være funktionelle, hvis de udskiller hormoner af sig selv. På den anden side, er de non-funktionelle adenomer, hvis de ikke udskiller hormoner.
Diagnose

Med hensyn til diagnose, skal en læge udføre en fysisk undersøgelse for at analysere, om der er nogen problemer med dobbeltsyn og synsfeltet. Laboranter studerer også tab af det laterale og perifære syn og evnen til at se i bestemte områder.
De udfører derefter en analyse af den endokrine funktion for at se efter eventuelle tegn på overskydende hormoner eller andre uregelmæssigheder. De kan dermed måle parametre såsom øgede kortisolniveauer, Cushings syndrom og for meget væksthormon.
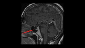
De mest relevante tests, som hjælper med at bekræfte diagnosen, er af synsfeltet, CT-scanning og MR-scanning af hjernen.
Vi anbefaler, at du læser: 6 tegn på høje kortisol niveauer i din krop
Behandling af hypofyseadenom
Overordnet, inkluderer de nuværende terapeutiske muligheder:
- Den farmakologiske behandling er erstatning af hormoner: Medicin, som blokerer udskillelsen af hormoner, kan kontrollere symptomerne og endda mindske svulstens størrelse.
- Stråling: Dette bliver ofte brugt til at mindske svulstens størrelse.
- Operation af hypofysen: Disse svulster er typisk fjernet gennem næsehulen. I andre tilæflde, bliver læger dog nødt til at åbne kraniet.
- Endoskopisk operation gennem næsen består af at indsætte et endoskop gennem næseboret og glide det mellem det midterste turbinat og næseseptum, indtil de lokaliserer hullet ved kilebenet. Dette hul bliver forstørret for at opnå en passende åbning af kilebenet, så man er i stand til at visualisere gulvet i sella turcica for at fjerne svulsten.
Blindhed er den mest seriøse komplikation, hvis der er seriøs skade i den optiske nerve. Svulsten eller dens excision kan også forårsage hormonelle ubalancer resten af livet og føre til diabetes insipidus. De karakteristiske symptomer for denne type diabetes er hyppig vandladning og ekstrem tørst.
I et hvert tilfælde, er det vigtigt at søge behandling så tidligt som muligt, hvis man bemærker nogen af de ovenstående symptomer.
En hypofyseadenom er en langsomt voksende, godartet svulst. Den opstår i cellerne, som omgiver hypofysen. Dette er en kirtel, som regulerer funktionen af andre kirtler i kroppen, hvilket gør den vigtig. En hypofyseadenom er dog relativt gængs og opstår hos omkring 1 ud af 1000 voksne.
Der er ingen forskel med hensyn til køn, eftersom det rammer mænd og kvinder på lige vis. Der er flere tilfælde hos personer i alderen mellem 30 og 40, når det kommer til alder som variabel.
Generelt, er det en godartet og langsomt voksende svulst. Dermed, er ondartede tumorer i dette område meget usædvanlige. Vi kender stadig ikke den egentlige årsag til hypofyseadenom. I nogle tilfælde, er det, dog, relateret til en genetisk sygdom ved navn multipel endokrin neoplasi.
Symptomer på hypofyseadenom

Det primære symptom, der kommer fra disse former for tumorer, er en ændring i udskillelsen af hormoner. Afhængig af tilfældet af svulst i hypofysen, kan de producere for meget af et eller flere hormoner. På grund af ændringen i det endokrine system, kan symptomerne være:
- Hyperthyroidisme: Skjoldbruskkirtlen producerer overdrevne mængder af hormoner (dette symptom er temmelig usædvanligt hos dem, der er ramt af hypofyseadenom).
- Cushings syndrom: Her er niveauet af kortisol, et hormon, højere end normalt.
- Akromegali: Børn med et højt niveau af væksthormonet kan lide af gigantisme. Hvis det sker hos en voksen, kan der være akromegali.
- Udskillelse og produktion af mælk hos både mænd og kvinder.
- Uregelmæssig menstruation hos kvinder grundet en ændring i kønshormoner.
I modsætning, opstår nogle specifikke symptomer, når der er en komprimering af hjernestrukturen på grund af en større svulst i hypofysen. Disse kan inkludere:
- Synsforstyrrelser, såsom dobbeltsyn, mindsket synsfelt, hængende øjenlåg eller ændringer i, hvordan man ser farver.
- Hovedpine.
- Træthed og døsighed.
- Klar udflåd fra næsen.
- Kvalme og opkast.
- Problemer med lugtesansen.
Disse symptomer kan være foruroligende, hvis de opstår pludseligt og samtidigt. De kan også føre til hypofyseinfarkt. Hvis du bemærker nogen af disse symptomer, så vær sikker på, at du går til en læge.
Du vil måske også være interesseret i at læse: Fordele ved rabarber til at forbedre skjoldbruskkirtlen
Typer af adenomer
Vi kan klassificere hypofyseadenomer ud fra deres størrelse på den følgende måde:
- Mikroadenomer: Disse er mindre end 10 mm.
- Makroadenomer: De er større end 10 mm. Denne type adenomer fører ofte til en stor mangel på en eller flere hypofysehormoner.
Man kan også klassificere dem ud fra, hvor vidt de udskiller hormoner eller ej. Ifølge disse kriterier, kan de være funktionelle, hvis de udskiller hormoner af sig selv. På den anden side, er de non-funktionelle adenomer, hvis de ikke udskiller hormoner.
Diagnose

Med hensyn til diagnose, skal en læge udføre en fysisk undersøgelse for at analysere, om der er nogen problemer med dobbeltsyn og synsfeltet. Laboranter studerer også tab af det laterale og perifære syn og evnen til at se i bestemte områder.
De udfører derefter en analyse af den endokrine funktion for at se efter eventuelle tegn på overskydende hormoner eller andre uregelmæssigheder. De kan dermed måle parametre såsom øgede kortisolniveauer, Cushings syndrom og for meget væksthormon.
De mest relevante tests, som hjælper med at bekræfte diagnosen, er af synsfeltet, CT-scanning og MR-scanning af hjernen.
Vi anbefaler, at du læser: 6 tegn på høje kortisol niveauer i din krop
Behandling af hypofyseadenom
Overordnet, inkluderer de nuværende terapeutiske muligheder:
- Den farmakologiske behandling er erstatning af hormoner: Medicin, som blokerer udskillelsen af hormoner, kan kontrollere symptomerne og endda mindske svulstens størrelse.
- Stråling: Dette bliver ofte brugt til at mindske svulstens størrelse.
- Operation af hypofysen: Disse svulster er typisk fjernet gennem næsehulen. I andre tilæflde, bliver læger dog nødt til at åbne kraniet.
- Endoskopisk operation gennem næsen består af at indsætte et endoskop gennem næseboret og glide det mellem det midterste turbinat og næseseptum, indtil de lokaliserer hullet ved kilebenet. Dette hul bliver forstørret for at opnå en passende åbning af kilebenet, så man er i stand til at visualisere gulvet i sella turcica for at fjerne svulsten.
Blindhed er den mest seriøse komplikation, hvis der er seriøs skade i den optiske nerve. Svulsten eller dens excision kan også forårsage hormonelle ubalancer resten af livet og føre til diabetes insipidus. De karakteristiske symptomer for denne type diabetes er hyppig vandladning og ekstrem tørst.
I et hvert tilfælde, er det vigtigt at søge behandling så tidligt som muligt, hvis man bemærker nogen af de ovenstående symptomer.
Alle citerede kilder blev grundigt gennemgået af vores team for at sikre deres kvalitet, pålidelighed, aktualitet og validitet. Bibliografien i denne artikel blev betragtet som pålidelig og af akademisk eller videnskabelig nøjagtighed.
-
Jaime, M. de, López, F., & Cabrera, G. (2003). Patología de los adenomas hipofisarios. Patología.
-
Betanzos, R. R., Gerardo, E., Pérez, D., Apolonia, S., Montaño, A., Sánchez, V., … Mendoza, C. (2009). Artículo de revisión Acromegalia. Mcm.
-
CARNEIRO, C. C., MENDES, B. B., & BASTOS, L. G. (2015). ADENOMA HIPOFISÁRIO: CORRELAÇÃO CLÍNICA, LABORATORIAL E RADIOLÓGICA. REVISTA DA UNIVERSIDADE VALE DO RIO VERDE. https://doi.org/10.5892/ruvrd.v13i1.1979
Denne tekst er kun til informationsformål og erstatter ikke konsultation med en professionel. Hvis du er i tvivl, så konsulter din specialist.







