Kan knuder på hovedet være tumorer?


Bedømt og godkendt af biolog, læge María Belén del Río
Knuder på hovedet er undertiden forbundet med tumorer, især hjernetumorer. I de fleste tilfælde er disse knuder dog ikke kræftfremkaldende. I denne artikel undersøger vi de mulige årsager til knuder på hovedet.
Hovedtumorer

Tumorer opstår som følge af ukontrolleret celledeling i et område af kroppen. Efterhånden dannes der indre knuder, som kan være godartede eller ondartede (kræft). Det er blevet bevist, at denne ændring skyldes en mutation i disse cellers arvemateriale.
Der er blevet identificeret nogle risikofaktorer, som øger risikoen for at udvikle sygdommen. For eksempel vedtagelse af usunde vaner (rygning, alkoholisme og stofmisbrug). I andre tilfælde kan patientens sygehistorie og baggrund (slægtninge, der har haft samme sygdom) også spille en rolle.
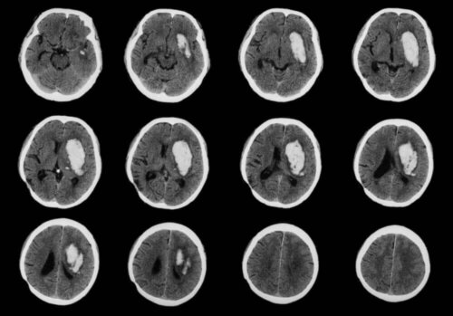
En vigtig observation her er, at hjernetumorer aldrig viser sig som knuder på ydersiden af hovedet. Da hjernetumorer ændrer hjernecellerne, udvikler kræften sig inde i dette organ.
Denne sygdom skader aldrig neuronerne, da disse celler i nervesystemet ikke gennemgår celledeling. Derfor vil denne patologi påvirke neuroglia, de celler, der ledsager, nærer og beskytter neuronerne.
Så hvad forårsager knuder på hovedet? Vi vil se på flere muligheder i dagens artikel.
Knuder på hovedet som følge af traumer

Hvis vi falder eller får et slag i hovedet, kan der ud over smerten hurtigt begynde at dannes en knude, som kan variere i størrelse.
Knuden skyldes en bristning af blodkarrene i det område, der har fået stødet. Da blodet ikke kan synke ned til dybere væv, ophobes det mod det ydre miljø i form af en hævelse.
Som regel forsvinder den efter nogle få dage, og det ændrede område vender tilbage til sin oprindelige tilstand. Hvis denne bule forårsager andre tegn som f.eks. følelsesløshed eller synstab, er det nødvendigt at opsøge en læge for at undersøge, om der er tale om mere alvorlige skader.
Tag et kig på denne fantastiske artikel: Ny forskning om leverkræft
Fedtcyster, talgkmopper eller lipom
Som navnet antyder, fedtcyster er spontante ophobninger af fedt (talg) og andre rester, som kan danne knuder på huden. De kan forekomme overalt på kroppens overflade. De er dog sjældent ondartede, og den mest alvorlige tilstand ville være den æstetiske ændring af området.
Specialister har bekræftet, at de normalt er erhvervede, hvilket betyder, at personen vil udvikle dem i løbet af sit liv. I en lille procentdel af tilfældene opstår talgknopper fra fødslen.

Som regel dannes de ved tilstopning af talgkirtlerne, der er placeret i hele kroppen (herunder hovedbunden). Årsagerne og de risikofaktorer, der kan begunstige en sådan situation, er stadig ukendte. Det fedt, der produceres af disse strukturer, er i stand til at nære og beskytte det væv, der danner huden.
Det er også muligt at bemærke en anden konsistens, hvis knuden vokser på kraniet (den er hård og har ringe bevægelighed) eller på området tættere på hovedbunden (de er blødere og kan manipuleres mere).
Lejlighedsvis kan visse sygdomme forårsage dannelsen af fedtcyster, men det er sjældent. Det er tilfældet ved Gorlins syndrom, Gardners syndrom, medfødt pancytopeni eller steatocystoma multiplex.
Kontakt altid din læge i tilfælde af knuder på hovedet

Det største problem med talgcyster er, at de kan blive ret store, der er som regel flere af dem, og hvis de ikke behandles korrekt, har de en tendens til at blive inficeret. Generelt er der en overvækst af den bakterieflora, der naturligt bebor huden.
Men når denne situation bliver alvorlig, eller hvis patienten har et immunsystem, der ikke er i stand til at fungere korrekt, dvs. hvis patienten er immundefekt, er der en øget risiko for kolonisering af opportunistiske patogener.
Disse mikroorganismer udnytter det “lave forsvar” til at formere sig og bygge rede i cysternes bund. Generelt er der tale om bakterier, der lever af talg, og antibiotikabehandling er nødvendig.
Andre årsager til knuder på hovedet
Selv om lipomer og traumatiske knuder er de mest almindelige årsager, kan mange andre tilstande forårsage en knude på hovedet. Heldigvis er de fleste af dem godartede og forbedres med den rette medicinske behandling. Blandt disse patologier skiller følgende sig ud:
- Seboroisk dermatitis.
- Follikulitis.
- Nældefeber.
- Betændelse i lymfeknuderne.
Alle ovennævnte patologier er normalt ledsaget af andre symptomer såsom smerte, rødme og kløe i det berørte område. Desuden kan follikulitis også være ledsaget af et purulent udflåd på grund af superinfektion.
På den anden side kan en type hudkræft, kaldet basalcellekarcinom, også forårsage en knude på hovedet. I dette tilfælde er det nødvendigt at kigge efter pletter på huden omkring knuden og gå til en specialist så hurtigt som muligt, hvis du bemærker dem.
Som du kan se, vil en knude på hovedet aldrig være relateret til en hjernetumor. Denne kliniske manifestation skyldes en række forskellige patologier, hvoraf kun én er ondartet. Det er dog altid tilrådeligt at få det område, der giver anledning til bekymring, vurderet af en specialist, især hvis det dukker op efter en form for traume.
Knuder på hovedet er undertiden forbundet med tumorer, især hjernetumorer. I de fleste tilfælde er disse knuder dog ikke kræftfremkaldende. I denne artikel undersøger vi de mulige årsager til knuder på hovedet.
Hovedtumorer

Tumorer opstår som følge af ukontrolleret celledeling i et område af kroppen. Efterhånden dannes der indre knuder, som kan være godartede eller ondartede (kræft). Det er blevet bevist, at denne ændring skyldes en mutation i disse cellers arvemateriale.
Der er blevet identificeret nogle risikofaktorer, som øger risikoen for at udvikle sygdommen. For eksempel vedtagelse af usunde vaner (rygning, alkoholisme og stofmisbrug). I andre tilfælde kan patientens sygehistorie og baggrund (slægtninge, der har haft samme sygdom) også spille en rolle.
En vigtig observation her er, at hjernetumorer aldrig viser sig som knuder på ydersiden af hovedet. Da hjernetumorer ændrer hjernecellerne, udvikler kræften sig inde i dette organ.
Denne sygdom skader aldrig neuronerne, da disse celler i nervesystemet ikke gennemgår celledeling. Derfor vil denne patologi påvirke neuroglia, de celler, der ledsager, nærer og beskytter neuronerne.
Så hvad forårsager knuder på hovedet? Vi vil se på flere muligheder i dagens artikel.
Knuder på hovedet som følge af traumer

Hvis vi falder eller får et slag i hovedet, kan der ud over smerten hurtigt begynde at dannes en knude, som kan variere i størrelse.
Knuden skyldes en bristning af blodkarrene i det område, der har fået stødet. Da blodet ikke kan synke ned til dybere væv, ophobes det mod det ydre miljø i form af en hævelse.
Som regel forsvinder den efter nogle få dage, og det ændrede område vender tilbage til sin oprindelige tilstand. Hvis denne bule forårsager andre tegn som f.eks. følelsesløshed eller synstab, er det nødvendigt at opsøge en læge for at undersøge, om der er tale om mere alvorlige skader.
Tag et kig på denne fantastiske artikel: Ny forskning om leverkræft
Fedtcyster, talgkmopper eller lipom
Som navnet antyder, fedtcyster er spontante ophobninger af fedt (talg) og andre rester, som kan danne knuder på huden. De kan forekomme overalt på kroppens overflade. De er dog sjældent ondartede, og den mest alvorlige tilstand ville være den æstetiske ændring af området.
Specialister har bekræftet, at de normalt er erhvervede, hvilket betyder, at personen vil udvikle dem i løbet af sit liv. I en lille procentdel af tilfældene opstår talgknopper fra fødslen.

Som regel dannes de ved tilstopning af talgkirtlerne, der er placeret i hele kroppen (herunder hovedbunden). Årsagerne og de risikofaktorer, der kan begunstige en sådan situation, er stadig ukendte. Det fedt, der produceres af disse strukturer, er i stand til at nære og beskytte det væv, der danner huden.
Det er også muligt at bemærke en anden konsistens, hvis knuden vokser på kraniet (den er hård og har ringe bevægelighed) eller på området tættere på hovedbunden (de er blødere og kan manipuleres mere).
Lejlighedsvis kan visse sygdomme forårsage dannelsen af fedtcyster, men det er sjældent. Det er tilfældet ved Gorlins syndrom, Gardners syndrom, medfødt pancytopeni eller steatocystoma multiplex.
Kontakt altid din læge i tilfælde af knuder på hovedet

Det største problem med talgcyster er, at de kan blive ret store, der er som regel flere af dem, og hvis de ikke behandles korrekt, har de en tendens til at blive inficeret. Generelt er der en overvækst af den bakterieflora, der naturligt bebor huden.
Men når denne situation bliver alvorlig, eller hvis patienten har et immunsystem, der ikke er i stand til at fungere korrekt, dvs. hvis patienten er immundefekt, er der en øget risiko for kolonisering af opportunistiske patogener.
Disse mikroorganismer udnytter det “lave forsvar” til at formere sig og bygge rede i cysternes bund. Generelt er der tale om bakterier, der lever af talg, og antibiotikabehandling er nødvendig.
Andre årsager til knuder på hovedet
Selv om lipomer og traumatiske knuder er de mest almindelige årsager, kan mange andre tilstande forårsage en knude på hovedet. Heldigvis er de fleste af dem godartede og forbedres med den rette medicinske behandling. Blandt disse patologier skiller følgende sig ud:
- Seboroisk dermatitis.
- Follikulitis.
- Nældefeber.
- Betændelse i lymfeknuderne.
Alle ovennævnte patologier er normalt ledsaget af andre symptomer såsom smerte, rødme og kløe i det berørte område. Desuden kan follikulitis også være ledsaget af et purulent udflåd på grund af superinfektion.
På den anden side kan en type hudkræft, kaldet basalcellekarcinom, også forårsage en knude på hovedet. I dette tilfælde er det nødvendigt at kigge efter pletter på huden omkring knuden og gå til en specialist så hurtigt som muligt, hvis du bemærker dem.
Som du kan se, vil en knude på hovedet aldrig være relateret til en hjernetumor. Denne kliniske manifestation skyldes en række forskellige patologier, hvoraf kun én er ondartet. Det er dog altid tilrådeligt at få det område, der giver anledning til bekymring, vurderet af en specialist, især hvis det dukker op efter en form for traume.
Alle citerede kilder blev grundigt gennemgået af vores team for at sikre deres kvalitet, pålidelighed, aktualitet og validitet. Bibliografien i denne artikel blev betragtet som pålidelig og af akademisk eller videnskabelig nøjagtighed.
- Moreno Cano, P., Manuel Ruíz, V., & Martín Gordo, O. (2012). Doctor, otra vez los bultos en la cabeza: Quistes tricolémicos. FMC Formacion Medica Continuada En Atencion Primaria. https://doi.org/10.1016/S1134-2072(12)70327-4
- DMedicina. (2014). ENFERMEDADES: TUMORES CEREBRALES.
- Knopman, J., & Härtl, R. (2016). Head Trauma. In International Encyclopedia of Public Health. https://doi.org/10.1016/B978-0-12-803678-5.00181-8
- Yildiz, H., Hakyemez, B., Koroglu, M., Yesildag, A., & Baykal, B. (2006). Intracranial lipomas: Importance of localization. Neuroradiology. https://doi.org/10.1007/s00234-005-0001-z
- Herholz, K., Langen, K. J., Schiepers, C., & Mountz, J. M. (2012). Brain tumors. Seminars in nuclear medicine, 42(6), 356–370. https://doi.org/10.1053/j.semnuclmed.2012.06.001
- Ortega Zufiría, J. M., Prieto, N. L., Cuba, B. C., Degenhardt, M. T., Núñez, P. P., López Serrano, M. R., & López Raigada, A. B. (2018). Traumatismo craneoencefálico leve [Mild head injury]. Surgical neurology international, 9(Suppl 1), S16–S28. https://doi.org/10.4103/sni.sni_371_17
Denne tekst er kun til informationsformål og erstatter ikke konsultation med en professionel. Hvis du er i tvivl, så konsulter din specialist.







