Karakteristika for osteosarkom hos børn

Osteosarkom hos børn udgør 3% af alle kræftformer, der forekommer hos børn. Det er den mest almindelige type knoglekræf og en af de få, der begynder direkte i knoglevævet. Desværre kan det spredes til andre områder af kroppen.
Overlevelsesraten for osteosarkom hos børn er omkring 60 til 80%, når den ikke spreder sig ud over den første tumor. Det afhænger selvfølgelig af kemoterapiens effektivitet. Til gengæld er chancerne for overlevelse meget lavere, hvis den allerede har spredt sig til andre områder.
Ifølge estimater repræsenterer osteosarkom cirka halvdelen af alle tilfælde af denne sygdom hos børn. De fleste diagnoser opstår i alderen 10 til 30 år. Derudover er det mere almindeligt hos unge.
Hvad er osteosarkom?

Dette er en kræftform, der udvikler sig i knogleceller. Det er også kendt som osteogent sarkom og manifesterer sig som en ondartet tumor, der kan sprede sig til næsten enhver del af kroppen – oftest først til lungerne.
Denne type kræft begynder normalt i enderne af knoglerne i arme eller ben, men påvirker også andre knogler. Det vokser normalt i følgende områder :
- Toppen af knæet eller det distale lårben.
- Under knæet eller proksimalt skinneben.
- Under skulderen eller proximal humerus.
Osteosarkom forekommer normalt hos børn ældre end 10 år. Nogle mener, at denne kræftform skyldes DNA-svigt i knogleceller i stadierne af intens vækst. Generelt påvirker det drenge mere end piger, og de fleste tilfælde forekommer i knæet.
Typer af osteosarkom hos børn
Der er i det væsentlige to typer osteosarkom hos børn og voksne. Hver af dem indeholder flere undertyper:
- En central tumor, også kendt som en medullær tumor, opstår dybt i knoglen
- Konventionel central osteosarkom
- Telangiektatisk
- Intraosseøs, veldifferentieret eller lavgradig
- Småcellet osteosarkom
- En overfladisk eller perifer tumor, der forekommer i de lavere områder
- Parosteal osteosarkom er også kendt som juxtakortikal
- Periosteal
- Overfladisk osteosarkom eller højgradig
Risikofaktorer
Generelt forekommer osteosarkomer hos mennesker, der hverken har andre sygdomme eller en familiehistorie med knoglekræft. Alt tyder på, at der tilfældigt opstår et sæt genetiske ændringer, der fører til sygdommen.
Når det er sagt, skal du bemærke, at der i nogle tilfælde er faktorer, der fremmer udviklingen af sygdommen. Blandt dem:
- Tidligere strålebehandling for andre former for kræft; især i en ung alder
- Arveligt retinoblastom
- Tidligere sygdomme som Li-Fraumeni syndrom, Werner syndrom og Rothmund-Thomson syndrom
Symptomer på osteosarkom hos børn

Symptomerne på osteosarkom varierer. Faktisk er nogle patienter asymptomatiske. Nogle af de mest almindelige manifestationer er imidlertid:
- Smerter i en knogle eller led, som øges med tiden, indtil det bliver uudholdeligt.
- Knækkede knogler, uden åbenlys årsag.
- Tilstedeværelsen af en masse eller klump.
- Tab af tarm- eller blærekontrol.
- Rygsmerte.
Som du kan forestille dig, er det vigtigt at være opmærksom på forekomsten af et af disse symptomer, især i ungdomsårene. Tøv ikke med at konsultere en specialist, hvis du har mistanke om det på nogen måde.
Diagnose og behandling
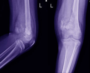
Diagnosen stilles normalt på grundlag af et klinisk interview og sundhedshistorie sammen med nogle tests. Det starter normalt med røntgenstråler, som suppleres med en MR-scanning. En læge vil udføre en biopsi, så snart de opdager et problem og identificerer området.
Efter at have bekræftet diagnosen, vil lægen bestille en CT-scanning af brystet, en knoglescanning og nogle gange flere MR-scanninger. Alt dette giver dem mulighed for at stille en mere præcis diagnose og bestemme en mere effektiv behandling.
Behandlingen af osteosarkom hos børn omfatter kemoterapi og har til formål at krympe kræftknuden. Bagefter vil operation være nødvendig for at fjerne tumorer, og afslutningsvis vil de behandle patienten med kemoterapi igen for at minimere sandsynligheden for tilbagevendende kræft.
Vær på udkig efter symptomer på osteosarkom hos børn
Som du kan se, kan osteosarkom forekomme subtilt og uden tidligere tilfælde hos børn. Desuden skal forældre være opmærksomme på forekomsten af mulige symptomer, især i ungdomsårene.
Kontakt endelig en specialist for at udelukke dette og andre mulige patologier, der alvorligt kan påvirke helbredet, hvis du har mistanke om, at dit barn kan have en sygdom.
Osteosarkom hos børn udgør 3% af alle kræftformer, der forekommer hos børn. Det er den mest almindelige type knoglekræf og en af de få, der begynder direkte i knoglevævet. Desværre kan det spredes til andre områder af kroppen.
Overlevelsesraten for osteosarkom hos børn er omkring 60 til 80%, når den ikke spreder sig ud over den første tumor. Det afhænger selvfølgelig af kemoterapiens effektivitet. Til gengæld er chancerne for overlevelse meget lavere, hvis den allerede har spredt sig til andre områder.
Ifølge estimater repræsenterer osteosarkom cirka halvdelen af alle tilfælde af denne sygdom hos børn. De fleste diagnoser opstår i alderen 10 til 30 år. Derudover er det mere almindeligt hos unge.
Hvad er osteosarkom?

Dette er en kræftform, der udvikler sig i knogleceller. Det er også kendt som osteogent sarkom og manifesterer sig som en ondartet tumor, der kan sprede sig til næsten enhver del af kroppen – oftest først til lungerne.
Denne type kræft begynder normalt i enderne af knoglerne i arme eller ben, men påvirker også andre knogler. Det vokser normalt i følgende områder :
- Toppen af knæet eller det distale lårben.
- Under knæet eller proksimalt skinneben.
- Under skulderen eller proximal humerus.
Osteosarkom forekommer normalt hos børn ældre end 10 år. Nogle mener, at denne kræftform skyldes DNA-svigt i knogleceller i stadierne af intens vækst. Generelt påvirker det drenge mere end piger, og de fleste tilfælde forekommer i knæet.
Typer af osteosarkom hos børn
Der er i det væsentlige to typer osteosarkom hos børn og voksne. Hver af dem indeholder flere undertyper:
- En central tumor, også kendt som en medullær tumor, opstår dybt i knoglen
- Konventionel central osteosarkom
- Telangiektatisk
- Intraosseøs, veldifferentieret eller lavgradig
- Småcellet osteosarkom
- En overfladisk eller perifer tumor, der forekommer i de lavere områder
- Parosteal osteosarkom er også kendt som juxtakortikal
- Periosteal
- Overfladisk osteosarkom eller højgradig
Risikofaktorer
Generelt forekommer osteosarkomer hos mennesker, der hverken har andre sygdomme eller en familiehistorie med knoglekræft. Alt tyder på, at der tilfældigt opstår et sæt genetiske ændringer, der fører til sygdommen.
Når det er sagt, skal du bemærke, at der i nogle tilfælde er faktorer, der fremmer udviklingen af sygdommen. Blandt dem:
- Tidligere strålebehandling for andre former for kræft; især i en ung alder
- Arveligt retinoblastom
- Tidligere sygdomme som Li-Fraumeni syndrom, Werner syndrom og Rothmund-Thomson syndrom
Symptomer på osteosarkom hos børn

Symptomerne på osteosarkom varierer. Faktisk er nogle patienter asymptomatiske. Nogle af de mest almindelige manifestationer er imidlertid:
- Smerter i en knogle eller led, som øges med tiden, indtil det bliver uudholdeligt.
- Knækkede knogler, uden åbenlys årsag.
- Tilstedeværelsen af en masse eller klump.
- Tab af tarm- eller blærekontrol.
- Rygsmerte.
Som du kan forestille dig, er det vigtigt at være opmærksom på forekomsten af et af disse symptomer, især i ungdomsårene. Tøv ikke med at konsultere en specialist, hvis du har mistanke om det på nogen måde.
Diagnose og behandling
Diagnosen stilles normalt på grundlag af et klinisk interview og sundhedshistorie sammen med nogle tests. Det starter normalt med røntgenstråler, som suppleres med en MR-scanning. En læge vil udføre en biopsi, så snart de opdager et problem og identificerer området.
Efter at have bekræftet diagnosen, vil lægen bestille en CT-scanning af brystet, en knoglescanning og nogle gange flere MR-scanninger. Alt dette giver dem mulighed for at stille en mere præcis diagnose og bestemme en mere effektiv behandling.
Behandlingen af osteosarkom hos børn omfatter kemoterapi og har til formål at krympe kræftknuden. Bagefter vil operation være nødvendig for at fjerne tumorer, og afslutningsvis vil de behandle patienten med kemoterapi igen for at minimere sandsynligheden for tilbagevendende kræft.
Vær på udkig efter symptomer på osteosarkom hos børn
Som du kan se, kan osteosarkom forekomme subtilt og uden tidligere tilfælde hos børn. Desuden skal forældre være opmærksomme på forekomsten af mulige symptomer, især i ungdomsårene.
Kontakt endelig en specialist for at udelukke dette og andre mulige patologier, der alvorligt kan påvirke helbredet, hvis du har mistanke om, at dit barn kan have en sygdom.
Alle citerede kilder blev grundigt gennemgået af vores team for at sikre deres kvalitet, pålidelighed, aktualitet og validitet. Bibliografien i denne artikel blev betragtet som pålidelig og af akademisk eller videnskabelig nøjagtighed.
- Bello, A., Márquez, A. H., & Noris-Suárez, K. (2007). El grado de glicosilación del colágeno óseo regula la adhesión y la capacidad de biomineralizar de las células óseas. In IV Latin American Congress on Biomedical Engineering 2007, Bioengineering Solutions for Latin America Health (pp. 663-666). Springer, Berlin, Heidelberg.
- Millán-Rodríguez, A. C., Lázaro-González, V., Dios-Castro, E., R Regal, A., Cores, F. J., & Fernández-Vila, P. C. (2008). Disminución de agudeza visual, primer síntoma de un tumor medular. Archivos de la Sociedad Española de Oftalmología, 83(7), 437-440.
- Cortés-Rodríguez, R., Castañeda-Pichardo, G., & Tercero-Quintanilla, G. (2010). Guía de diagnóstico y tratamiento para pacientes pediátricos con osteosarcoma. Archivos de Investigación Materno Infantil, 2(2), 60-66.
Denne tekst er kun til informationsformål og erstatter ikke konsultation med en professionel. Hvis du er i tvivl, så konsulter din specialist.







