Ankel slidgigt: En sygdom som mange mennesker lider af


Skrevet og kontrolleret af læge Carlos Fabián Avila
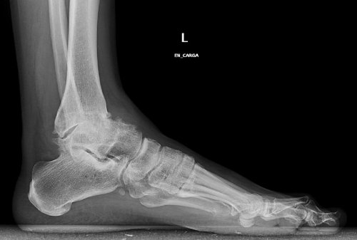
Ankel slidgigt begrænser mange menneskers livskvalitet. Det er en tavs og vedvarende sygdom, der hæmmer mobiliteten. Desuden er den smerte, det forårsager, ikke altid nedsat efter at have indtaget smertestillende medicin.
Selvom flere mennesker ofte taler om hofte eller knæ slid, er ankel slidgigt en meget almindelig type af slidgigt forbundet med degenerative sygdomme.
Vi må heller ikke glemme, at ankelleddet er meget vigtigt for at gå. Desuden er dens funktion afgørende, så vores holdnings akse dannet af vores hofte, knæ og fod er i harmoni.
Der er dog flere faktorer, der påvirker den sarte sundhed og udholdenhed hos alle de komplekse strukturer, der danner dette led.
Slidgigt er utvivlsomt det onde, der virker som en ægte forbandelse på vores livskvalitet. Nedenfor finder du flere oplysninger om dette problem.
Vi er sikre på, at det hjælper dig.
Hvordan ankel slidgigt forekommer
Denne form for gigt er forårsaget af progressiv slid på ankelledets brusk. Det er almindeligt, at vores ankler bliver stive og udvikler deformiteter, som vi ældes.
Anbefalet læsning:
Klassiske bensporer kan også forekomme, hvilket gør det til en meget smertefuld, såvel som bevægelses begrænsende tilstand.

Årsagerne der frembringer ankel slidgigt kan være flere:
- Have lidt af adskillige forstuvninger.
- At være atlet.
- Tilstedeværelsen af cyster eller unormal knoglevækst.
Imidlertid fører autoimmune sygdomme som leddegigt eller psoriasis også ofte til dette progressive udbrud.
- Traumatologer siger også, at der er en særlig årsag til denne tilstand: deformation af ankelen selv. Nogle gange er vi mere tilbøjelige til at udvikle slidgigt over tid bare ved at have flade fødder.
Endelig er der ikke altid en særlig årsag til ankel slidgigt. Nogle gange lider vi af, hvad der er kendt som “primær slidgigt”, der hovedsagligt rammer de ældre.
Hvad er symptomerne på ankel slidgigt?
Den første advarsel om brusk slid i dette led er smerte, når du går. Først vil vi lægge mærke til det efter en lang gåtur.
- Tryk eller mere specifik skarp smerte i ankelområdet vises når man går, hvilket tvinger os til at hvile vores ankel i et par minutter for at lindre smerten.
- Senere kan vores ankel blive hævet, og det kan endda være svært at have en bestemt type fodtøj på.
- Mange patienter klager også over smerte om natten.
- Vi kan udvikle den smertefulde spore, som vi nævnte ovenfor, lidt efter lidt og på grund af den progressive deformitet, der kan ske i vores ankel.
Behandlinger mod ankel slidgigt

Ankelleds injektion
En af de mest almindelige behandlinger er artikulære injektioner lavet af hyaluronsyre eller kortikosteroider.
Injektionerne forbedrer leddets mobilitet midlertidigt, da de “smører” det. Igen skal vi påpege, at effekten er midlertidig.
Særlige indlægssåler
En specialists mening er grundlæggende i disse tilfælde. De vil anbefale den mest passende behandling til os i henhold til vores symptomer.
- En anden almindelig strategi er brugen af korrigerende indlægssåler. Formålet med at bruge dem er at imødekomme og rette patientens fod deformation.
- De hjælper også med at reducere slagkraften ved at gå på anklen og minimere smerte.
- Der er også visse typer af fodtøj på markedet, som har specielle indlægssåler til at tage sig af vores ankler.
Kirurgisk behandling
Når vores traumatolog siger, at vi har brug for kirurgi, har vi mulighed for at lindre denne sygdom gennem et indgreb kendt som artroskopi.
- Det er effektivt i de tidlige stadier af denne tilstand, hvor leddet korrigeres ved en simpel og generelt hurtig operation.
På den anden side og kun i de mest alvorlige tilfælde, hvor leddets ødelæggelse allerede er veludviklet, kan man vælge en komplet ankelprotese.
Sådan får vi den samlede mobilitet af leddet tilbage.
Læs også:
Hvordan kan jeg forhindre ankel slidgigt?

Vi må ikke glemme, at ankel slidgigt kan blive lammende. Så vi bør forhindre det så meget, som vi kan ved at mindske dets udvikling.
Vær opmærksom på nogle enkle strategier:
- Lav mobilitetsøvelser i poolen.
- Gå på flade overflader, hvor der ikke er ujævnheder.
- Oprethold en sund vægt.
- Undgå stort brug af høje hæle.
- Prøv at gå barfodet i et par timer derhjemme, da dette er den mindst farlige måde at lave denne aktivitet på.
Afslutningsvis skal vi også minde om et vigtigt aspekt. Slidgigt problemer skyldes for det meste genetik. Således er det almindeligt, at vi begynder at lægge mærke til nogle symptomer på denne tilstand i en alder af 55 år.
Kontakt din traumatolog om de teknikker eller råd, du skal følge for at tage vare på dit leds helbred eller i det mindste begrænse udviklingen af denne sygdom.
Ankel slidgigt begrænser mange menneskers livskvalitet. Det er en tavs og vedvarende sygdom, der hæmmer mobiliteten. Desuden er den smerte, det forårsager, ikke altid nedsat efter at have indtaget smertestillende medicin.
Selvom flere mennesker ofte taler om hofte eller knæ slid, er ankel slidgigt en meget almindelig type af slidgigt forbundet med degenerative sygdomme.
Vi må heller ikke glemme, at ankelleddet er meget vigtigt for at gå. Desuden er dens funktion afgørende, så vores holdnings akse dannet af vores hofte, knæ og fod er i harmoni.
Der er dog flere faktorer, der påvirker den sarte sundhed og udholdenhed hos alle de komplekse strukturer, der danner dette led.
Slidgigt er utvivlsomt det onde, der virker som en ægte forbandelse på vores livskvalitet. Nedenfor finder du flere oplysninger om dette problem.
Vi er sikre på, at det hjælper dig.
Hvordan ankel slidgigt forekommer
Denne form for gigt er forårsaget af progressiv slid på ankelledets brusk. Det er almindeligt, at vores ankler bliver stive og udvikler deformiteter, som vi ældes.
Anbefalet læsning:
Klassiske bensporer kan også forekomme, hvilket gør det til en meget smertefuld, såvel som bevægelses begrænsende tilstand.

Årsagerne der frembringer ankel slidgigt kan være flere:
- Have lidt af adskillige forstuvninger.
- At være atlet.
- Tilstedeværelsen af cyster eller unormal knoglevækst.
Imidlertid fører autoimmune sygdomme som leddegigt eller psoriasis også ofte til dette progressive udbrud.
- Traumatologer siger også, at der er en særlig årsag til denne tilstand: deformation af ankelen selv. Nogle gange er vi mere tilbøjelige til at udvikle slidgigt over tid bare ved at have flade fødder.
Endelig er der ikke altid en særlig årsag til ankel slidgigt. Nogle gange lider vi af, hvad der er kendt som “primær slidgigt”, der hovedsagligt rammer de ældre.
Hvad er symptomerne på ankel slidgigt?
Den første advarsel om brusk slid i dette led er smerte, når du går. Først vil vi lægge mærke til det efter en lang gåtur.
- Tryk eller mere specifik skarp smerte i ankelområdet vises når man går, hvilket tvinger os til at hvile vores ankel i et par minutter for at lindre smerten.
- Senere kan vores ankel blive hævet, og det kan endda være svært at have en bestemt type fodtøj på.
- Mange patienter klager også over smerte om natten.
- Vi kan udvikle den smertefulde spore, som vi nævnte ovenfor, lidt efter lidt og på grund af den progressive deformitet, der kan ske i vores ankel.
Behandlinger mod ankel slidgigt

Ankelleds injektion
En af de mest almindelige behandlinger er artikulære injektioner lavet af hyaluronsyre eller kortikosteroider.
Injektionerne forbedrer leddets mobilitet midlertidigt, da de “smører” det. Igen skal vi påpege, at effekten er midlertidig.
Særlige indlægssåler
En specialists mening er grundlæggende i disse tilfælde. De vil anbefale den mest passende behandling til os i henhold til vores symptomer.
- En anden almindelig strategi er brugen af korrigerende indlægssåler. Formålet med at bruge dem er at imødekomme og rette patientens fod deformation.
- De hjælper også med at reducere slagkraften ved at gå på anklen og minimere smerte.
- Der er også visse typer af fodtøj på markedet, som har specielle indlægssåler til at tage sig af vores ankler.
Kirurgisk behandling
Når vores traumatolog siger, at vi har brug for kirurgi, har vi mulighed for at lindre denne sygdom gennem et indgreb kendt som artroskopi.
- Det er effektivt i de tidlige stadier af denne tilstand, hvor leddet korrigeres ved en simpel og generelt hurtig operation.
På den anden side og kun i de mest alvorlige tilfælde, hvor leddets ødelæggelse allerede er veludviklet, kan man vælge en komplet ankelprotese.
Sådan får vi den samlede mobilitet af leddet tilbage.
Læs også:
Hvordan kan jeg forhindre ankel slidgigt?

Vi må ikke glemme, at ankel slidgigt kan blive lammende. Så vi bør forhindre det så meget, som vi kan ved at mindske dets udvikling.
Vær opmærksom på nogle enkle strategier:
- Lav mobilitetsøvelser i poolen.
- Gå på flade overflader, hvor der ikke er ujævnheder.
- Oprethold en sund vægt.
- Undgå stort brug af høje hæle.
- Prøv at gå barfodet i et par timer derhjemme, da dette er den mindst farlige måde at lave denne aktivitet på.
Afslutningsvis skal vi også minde om et vigtigt aspekt. Slidgigt problemer skyldes for det meste genetik. Således er det almindeligt, at vi begynder at lægge mærke til nogle symptomer på denne tilstand i en alder af 55 år.
Kontakt din traumatolog om de teknikker eller råd, du skal følge for at tage vare på dit leds helbred eller i det mindste begrænse udviklingen af denne sygdom.
Alle citerede kilder blev grundigt gennemgået af vores team for at sikre deres kvalitet, pålidelighed, aktualitet og validitet. Bibliografien i denne artikel blev betragtet som pålidelig og af akademisk eller videnskabelig nøjagtighed.
- Hintermann, B., & Ruiz, R. (2014). Artrosis de tobillo y su tratamiento con artroplastía total de tobillo. Revista Médica Clínica Las Condes. https://doi.org/10.1016/S0716-8640(14)70113-0
- Zadegan, F., Raould, A., & Hannouche, D. (2014). Fracturas maleolares del adulto y luxaciones del tobillo. EMC – Aparato Locomotor. https://doi.org/10.1016/S1286-935X(14)67554-7
- Giovanni Carcuro, U., Sergio Eckholt, G., & Rodrigo Millán, P. (2014). Opciones no protésicas en el tratamiento de la artrosis de tobillo. Revista Médica Clínica Las Condes. https://doi.org/10.1016/S0716-8640(14)70109-9
Denne tekst er kun til informationsformål og erstatter ikke konsultation med en professionel. Hvis du er i tvivl, så konsulter din specialist.







