Fjern plak og få et bedre tandhelbred

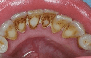
Der dannes plak, når resterne fra den mad, man spiser, ophobes på den indre og ydre overflade af tænderne. Dette tandproblem kan forårsage dårlig ånde, men det kan også bevirke udviklingen af andre tilstande når plakken hærdes og bliver til kalk på tænderne, som forårsager blødning og tandkødssygdomme. Fjern plak med de her løsninger.
Selv om der ikke findes nogen definitiv løsning til at fjerne plak og undgå, at det ophobes på tænderne, er der en række ting, man kan gøre derhjemme, for at reducere det og bremse processen. Læs med here for at lære mere.
Det bedste, man kan gøre for at fjerne plak, er at ændre måden man børster sine tænder på. De fleste mennesker bevæger tandbørsten i en horisontal bevægelse fra venstre mod højre, når de børster tænder. Men denne bevægelse kan faktisk kan øge følsomheden i tænderne og endda kan presse plak længere op mellem tænderne.
I stedet bør man altid børste sine tænder lodret fra top til bund, og helst i en cirkulær bevægelse. Når man børster tænder, bør man heller ikke glemme at bruge tandtråd for at fjerne plak mellem tænderne. Når man er færdig, bør man skylle efter med mundskyl og også skylle tandbørsten godt igennem, for at fjerne eventuelle madrester, som kan have sat sig fast i børsterne.
Bemærk: Sørg for at skifte tandbørste mindst fire gange om året, altså cirka hver tredje måned. Man bør også bruge en tandpasta, der indeholder fluor.
Læs også: Sig farvel til mundproblemer med dette naturlige middel
Lav et kostskifte
Det, at spise en balanceret kost, er en af de bedste ting, man kan gøre for at forbedre sit tandhelbred. Prøv så vidt muligt at undgå sukker og kulhydrater og lad være med at drikke sodavand – og hvis det er umuligt at lade være, så drik dem med sugerør, så sodavanden ikke kommer i direkte kontakt med tænderne. Spis ikke for meget mad lavet med raffineret mel! Gør man alligevel dette, bør man sørge for at børste tænder bagefter for at undgå at få en bakteriel infektion.
Hjælp mundhygiejnen på vej og bekæmp plak
Der findes en del hjemmelavede midler, som kan være meget effektive i forhold til at bekæmpe huller i tænderne og problemer såsom plak, men det er vigtigt ikke at overdrive brugen af det, da man på den måde kan ende med at gøre mere skade end gavn på tænderne. Nogle af de hjemmemidler, som kan hjælpe med at bekæmpe plak og forbedre det generelle tandhelbred, er:
Fjern plak med tyggegummi

Selv om det virker noget kontroversielt, har et nyligt studie vist, at det at tygge sukkerfrit tyggegummi reducerer dannelsen af plak på tænderne. Man skal bare tygge et stykke tyggegummi efter hvert måltid, så eventuelle madrester “tygges fri” og derefter fjerne madresterne ved at børste sine tænder.
Fjern plak med natron

Når man børster tænder, kan man tilføje en meget lille mængde natron til sin tandpasta. Natron opløser madrester fra tændernes overflade og kan også gøre dem væsentligt hvidere. Man kan gøre dette en gang om ugen før sengetid. Husk kun at bruge en lille mængde natron!
Fjern plak med citron

Citronsaft er fantastisk til at bekæmpe plak og tandsten. Surheden i citronerne har en slibende effekt, som hjælper med at rense munden grundigt. Det bleger tænderne og fjerner dårlig ånde. Brug citronsaft en gang om ugen for gradvist at reducere ophobningen af plak, men pas på med ikke at gøre det for ofte. Det kan nemlig have den modsatte effekt, hvis man bruger det i overdrevet grad.
Læs også: 6 naturlige midler mod blister i munden
Husk!
Der findes mange metoder til at rense, blege og forbedre tænderne og mundhygiejnen, men det bedste, man kan gøre, er at passe på sine tænder og holde dem sunde ved at lave en fast aftale hos sin tandlæge en gang hvert halve år. Der er ikke noget bedre end en professionel tandrensning til helt at fjerne det ubehagelig og skadelige problem, som plak er.
Der dannes plak, når resterne fra den mad, man spiser, ophobes på den indre og ydre overflade af tænderne. Dette tandproblem kan forårsage dårlig ånde, men det kan også bevirke udviklingen af andre tilstande når plakken hærdes og bliver til kalk på tænderne, som forårsager blødning og tandkødssygdomme. Fjern plak med de her løsninger.
Selv om der ikke findes nogen definitiv løsning til at fjerne plak og undgå, at det ophobes på tænderne, er der en række ting, man kan gøre derhjemme, for at reducere det og bremse processen. Læs med here for at lære mere.
Det bedste, man kan gøre for at fjerne plak, er at ændre måden man børster sine tænder på. De fleste mennesker bevæger tandbørsten i en horisontal bevægelse fra venstre mod højre, når de børster tænder. Men denne bevægelse kan faktisk kan øge følsomheden i tænderne og endda kan presse plak længere op mellem tænderne.
I stedet bør man altid børste sine tænder lodret fra top til bund, og helst i en cirkulær bevægelse. Når man børster tænder, bør man heller ikke glemme at bruge tandtråd for at fjerne plak mellem tænderne. Når man er færdig, bør man skylle efter med mundskyl og også skylle tandbørsten godt igennem, for at fjerne eventuelle madrester, som kan have sat sig fast i børsterne.
Bemærk: Sørg for at skifte tandbørste mindst fire gange om året, altså cirka hver tredje måned. Man bør også bruge en tandpasta, der indeholder fluor.
Læs også: Sig farvel til mundproblemer med dette naturlige middel
Lav et kostskifte
Det, at spise en balanceret kost, er en af de bedste ting, man kan gøre for at forbedre sit tandhelbred. Prøv så vidt muligt at undgå sukker og kulhydrater og lad være med at drikke sodavand – og hvis det er umuligt at lade være, så drik dem med sugerør, så sodavanden ikke kommer i direkte kontakt med tænderne. Spis ikke for meget mad lavet med raffineret mel! Gør man alligevel dette, bør man sørge for at børste tænder bagefter for at undgå at få en bakteriel infektion.
Hjælp mundhygiejnen på vej og bekæmp plak
Der findes en del hjemmelavede midler, som kan være meget effektive i forhold til at bekæmpe huller i tænderne og problemer såsom plak, men det er vigtigt ikke at overdrive brugen af det, da man på den måde kan ende med at gøre mere skade end gavn på tænderne. Nogle af de hjemmemidler, som kan hjælpe med at bekæmpe plak og forbedre det generelle tandhelbred, er:
Fjern plak med tyggegummi

Selv om det virker noget kontroversielt, har et nyligt studie vist, at det at tygge sukkerfrit tyggegummi reducerer dannelsen af plak på tænderne. Man skal bare tygge et stykke tyggegummi efter hvert måltid, så eventuelle madrester “tygges fri” og derefter fjerne madresterne ved at børste sine tænder.
Fjern plak med natron

Når man børster tænder, kan man tilføje en meget lille mængde natron til sin tandpasta. Natron opløser madrester fra tændernes overflade og kan også gøre dem væsentligt hvidere. Man kan gøre dette en gang om ugen før sengetid. Husk kun at bruge en lille mængde natron!
Fjern plak med citron

Citronsaft er fantastisk til at bekæmpe plak og tandsten. Surheden i citronerne har en slibende effekt, som hjælper med at rense munden grundigt. Det bleger tænderne og fjerner dårlig ånde. Brug citronsaft en gang om ugen for gradvist at reducere ophobningen af plak, men pas på med ikke at gøre det for ofte. Det kan nemlig have den modsatte effekt, hvis man bruger det i overdrevet grad.
Læs også: 6 naturlige midler mod blister i munden
Husk!
Der findes mange metoder til at rense, blege og forbedre tænderne og mundhygiejnen, men det bedste, man kan gøre, er at passe på sine tænder og holde dem sunde ved at lave en fast aftale hos sin tandlæge en gang hvert halve år. Der er ikke noget bedre end en professionel tandrensning til helt at fjerne det ubehagelig og skadelige problem, som plak er.
Denne tekst er kun til informationsformål og erstatter ikke konsultation med en professionel. Hvis du er i tvivl, så konsulter din specialist.







