Fluor: Hvordan hjælper det med at forebygge huller?

I lang tid har fluor hjulpet med at forebygge huller. Ud over at børste dine tænder og kontrollere din kost er brugen af dette element en af de vigtigste måder, hvorpå du kan beskytte dine tænder mod huller.
Men ved du, hvordan du kan anvende dette mineral? Hvordan og hvornår skal du bruge det? Kan det i nogle tilfælde være skadeligt at bruge det?
Det er vigtigt at finde svarene på disse spørgsmål. Derfor vil vi fortælle dig alt om det i denne artikel.
Hvad er fluor?
Fluor er et naturligt mineral, der findes i jordens overflade, vandkilder og visse fødevarer. Du kan også finde det i animalske produkter som laks, sardiner og lever eller i vegetabilske produkter som te, tomater, kartofler og spinat.
Ud over at indarbejde det i din kost gennem naturlige kilder kan du også tilføje dette mineral til flere produkter som kosttilskud. Da specialister har påvist, at fluor bidrager til at forebygge huller, bruger nogle samfund det i vandet for at reducere virkningen af dette problem. På den måde har vandet allerede fluor i sig, samt salte og calcium.
Du kan blandt andet finde det i tandplejeprodukter som tandpasta, mundskyl og tandtråd. Ligeledes er det i materialer, som tandlæger bruger på klinikken til at forebygge og behandle problemer.
Den menneskelige krop har metaboliske mekanismer, der regulerer og kontrollerer optagelsen, brugen og udskillelsen af dette element. Vi beholder størstedelen af fluor i vores knogler og tænder; og en lille del i de hvide væv. Vi udskiller den overskydende mængde gennem urinen og endnu mindre mængder gennem sved og afføring.

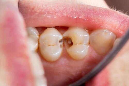
Hvad er huller?
Huller rammer både børn og voksne. Specifikt er det et problem, der påvirker mineralerne på tændernes overflader. Mikroorganismerne i munden omsætter sukkerstofferne i vores kost og producerer syrer, som er i stand til at angribe tændernes uorganiske dele.
Det hårde væv demineraliseres. Derved mister tænderne deres struktur. Når denne proces begynder, kan du bemærke en uigennemsigtig hvid plet, der bliver mørkere, efterhånden som skaden skrider frem.
Hvis du ikke behandler det, og demineraliseringen fortsætter, begynder der at opstå huller i tænderne, som fortsat bliver større og dybere. Senere bliver tændernes overflade blødere, og skaden kan påvirke pulpaen. Dette giver anledning til smertefulde symptomer eller en infektiøs proces.
Du er måske også interesseret i: Forstærkning af mundhygiejne hos børn
Hvordan fluor kan hjælpe med at forebygge huller
Fluor hjælper med at forebygge huller gennem to hovedvirkningsmekanismer:
- På den ene side kombineres grundstoffet kemisk med krystallerne i emaljen, hvilket omdanner hydroxyapatit til fluorapatit. Et stof, der er mere modstandsdygtigt over for afkalkning. Denne reaktion er hverken definitiv eller stabil, og derfor er det vigtigt at udsætte sig selv hyppigt for dette mineral.
- På den anden side reducerer tilstedeværelsen af dette element i munden omdannelsen af bakteriel plak. Dette reducerer produktionen af de syrer, der er ansvarlige for demineralisering af tænderne. Desuden hæmmer det mikroorganismer, der klæber til sig selv, hvilket gør det vanskeligt for denne skadelige film at binde sig sammen og akkumulere.
Du kan indarbejde fluor i kroppen kan gennem to primære metoder. Den ene er systemisk, hvor du indtager mineralet ved at drikke fluorholdigt vand, spise fødevarer eller kosttilskud, der indeholder det. Kroppen distribuerer det derefter gennem blodbanen og deponerer det i tandstrukturerne, hvor det dannes.
Flours indvirkning på kroppen på disse måder er vigtig, når tænderne dannes hos spædbørn og små børn. Det skyldes, at det kombinerer sig med emaljekrystaller, og som følge heraf er vævet meget mere modstandsdygtigt over for huller.
Den anden måde er lokal. Det betyder, at mineralet påføres på overfladerne af vores tænder og befinder sig i munden. Flour når tænderne på denne måde gennem tandpasta, mundskyl eller tandtråd, som indeholder det. Vi kan også få det gennem lak eller gel, som tandlægen påfører i klinikken.
Det er vigtigt at nævne, at fluor også har en terapeutisk virkning i tilfælde af sygdom, da det er i stand til at remineralisere emaljen, når en person har mistet flere mineraler.
Farer ved overdrevet brug af tandfluorid
Overdrevet brug af fluor kan være skadeligt. Dets virkning på tænderne afhænger i høj grad af koncentrationen. Så hvis det er i mindre mængder, er virkningen gavnlig. Hvis mængden derimod er for stor, kan den forårsage bivirkninger som f.eks. tandskader.
Fluorose er et problem, der opstår, når vi udsætter en tand for meget fluor, mens den er under dannelse. I dette tilfælde ser tænderne ud til at være farvede med hvide eller brune linjer. Emaljen er beskadiget, og tanden kan have fordybninger eller deformationer i mere alvorlige tilfælde.
Generelt indarbejder samfund fluor i deres vandkilder for at reducere forekomsten af huller i tænderne hos befolkningen gennem sikre koncentrationer. I disse tilfælde er det ikke nødvendigt at tage fluor systemisk gennem kosttilskud.
Den optimale koncentration af dette mineral i drikkevand er 0,7 til 1,2 milligram pr. liter (mg/L). Disse værdier er, ud over at bruge fluortandpasta sædvanligvis, nok til at beskytte munden mod problemerne uden nogen risiko.
Faktisk har tandpasta en tendens til at indeholde niveauer af mineralet, der ligger mellem 1000 og 1200 dele pr. million (ppm).
Hvis drikkevandet ikke indeholder fluor, kan din tandlæge foreslå, at du tager fluortilskud, især i spædbarnsalderen, når tænderne er ved at blive dannet. Tandlægen vil fastsætte mængden og måden, du bruger det på, hvilket vil være i overensstemmelse med din alder (eller barnets alder) og den aktuelle risiko for huller.
Hvis din tandlæge finder det nødvendigt, kan han eller hun desuden foreslå, at du bruger en tandpasta med en højere fluorprocent eller mundskyl, der indeholder dette mineral.
Læs også: 8 plejetips til mennesker med ortodonti
Andre råd til forebyggelse af huller i tænderne
Selv om fluor hjælper med at forebygge huller, er det ikke det eneste, du bør huske på, når det gælder om at passe på din mundhygiejne. Nedenstående giver vi dig en liste over andre metoder, der kan hjælpe med at forhindre, at dette problem opstår.
- Tandbørstning: Rengøring af alle sider af alle dine tænder er afgørende for at fjerne den bakterielle plak, der forårsager dette problem. Du bør rengøre dem mindst to gange om dagen med en børste med bløde børstehår og en tandpasta, der indeholder fluor.
- Tandtråd: Dette er nødvendigt for at supplere din tandhygiejne. Du vil være i stand til at nå de områder af tænderne, som tandbørsten ikke kan nå. Du bør bruge det mindst en gang om dagen. Du kan også rengøre disse vanskelige områder med interdentale tandbørster og skylleapparater.
- Balanceret kost: At spise sundt og begrænse, hvor meget simpelt sukker, ultraforarbejdede fødevarer og sodavand du indtager, kan hjælpe med at forebygge huller.
- Tygning af sukkerfrit tyggegummi: Det hjælper tænderne med at rense sig selv gennem det spyt, som munden genererer ved at tygge. Desuden indeholder de normalt sukkererstatninger som xylitol, som hjælper med at forebygge huller.
Flere råd
- Besøg tandlægen ofte: Regelmæssig tandlægekontrol kan hjælpe med at opdage og behandle eventuelle problemer i god tid. Professionel rensning og fluorbehandling er en ekstra indsats, der beskytter dine tænder.
- Forsegling i huller og sprækker: Tandlægen gør dette ved at anbringe et særligt materiale på tændernes retningsgivende overflader. På den måde er det nemmere at rengøre dem, og det forhindrer, at bakterier ophobes på områder, der er svære at rengøre.
- Drik nok væske: Patienter, der lider af xerostomi eller mundtørhed, bør hyppigt indtage væske og bruge spyterstatning for at bekæmpe denne effekt, der fremmer dannelsen af huller.
- Behandl problemer, der reducerer pH-niveauet i munden: Du skal identificere og behandle sygdomme som bulimi, anoreksi og sure opstød, da specialister forbinder det med huller.

Følg din tandlæges råd med hensyn til fluor
Fluor hjælper med at forebygge huller. Du bør drage fordel af dette, når du skal passe på din mundhygiejne! Selv om det ikke er særlig almindeligt, kan et overdrevet indtag af dette mineral være skadeligt, især når tænderne stadig er under dannelse.
Når du skal bruge produkter til at pleje din mund og forebygge huller, er det derfor bedst at rådføre dig med din tandlæge.
Denne fagperson vil kunne vurdere de særlige forhold i din mund, dine vaner og tilstedeværelsen eller manglen på fluor i vandet. Dette vil hjælpe dem til at anbefale de bedste produkter. De vil også forklare, hvordan du skal bruge dem og hvor længe.
Med det i tankerne er hyppige tandlægebesøg den bedste måde at beskytte din mund på. Tal med en professionel tandlæge om eventuelle bekymringer, du måtte have om brug af fluor, og stol på de råd, du får, så du får et smil, der både ser sundt ud og føles sundt!
Alle citerede kilder blev grundigt gennemgået af vores team for at sikre deres kvalitet, pålidelighed, aktualitet og validitet. Bibliografien i denne artikel blev betragtet som pålidelig og af akademisk eller videnskabelig nøjagtighed.
- Guerrero-Concepción, Alexander, and Roger Domínguez-Guerrero. “Fluorosis dental y su prevención en la atención primaria de salud.” Revista Electrónica Dr. Zoilo E. Marinello Vidaurreta 43.3 (2018).
- JUDITH, ARJONA SERRANO. “PREVENCION DE FLUOROSIS DENTAL.” (2019).
- Brandt, Lorenna Mendes Temóteo, et al. “Relationship between risk behavior for eating disorders and dental caries and dental erosion.” The Scientific World Journal 2017 (2017).
- Lovón, Whashington E., and Rildo P. Tapia. “Tratamiento manifestaciones Clínicas Bucales de la Anorexia y Bulimia.” (2019).
- Palma-Portaro, Camila, et al. “Recomendaciones basadas en la evidencia para la prevención de caries en infantes.” Revista Odontología Pediátrica 16.2 (2017): 51-64.
- González Sanz, Ángel Miguel, Blanca Aurora González Nieto, and Esther González Nieto. “Salud dental: relación entre la caries dental y el consumo de alimentos.” Nutrición hospitalaria 28 (2013): 64-71.
- Duque de Estrada Riverón, Johany, José Alberto Pérez Quiñonez, and Iliana Hidalgo-Gato Fuentes. “Caries dental y ecología bucal, aspectos importantes a considerar.” Revista cubana de estomatología 43.1 (2006): 0-0.
- Villacís Lascano, Estela Cleofé, Catalina Del Rosario Boada Zurita, and Carlos Iván Aguirre Pinos. “El flúor en la reducción del índice de caries en niños de etapa escolar.” Dilemas Contemporáneos: Educación, Política y Valores 7 (2020).
- Bustamante, Omayra Cova, et al. “ANTISÉPTICOS ORALES: CLORHEXIDINA, FLÚOR Y TRICLOSÁN.” Salud & Vida Sipanense 7.1 (2020): 4-16.
- Miñana, Vitoria. “El flúor oral para la prevención de caries,¿ cómo, cuándo ya quién?.” Form Act Pediatr Aten Prim 5.2 (2012): 108-13.
- Nieto Maya, Gregory Jesús. Efectividad del barniz de flúor en lesiones iniciales de caries en el periodo 2018-2020. BS thesis. Universidad de Guayaquil. Facultad Piloto de Odontología, 2020.
- Cabello Marquez, Juan José. “EFICACIA DEL USO TOPICO DE FLUOR PARA LA PREVENCIÓN DE CARIES DENTAL EN NIÑOS DE 6 AÑOS DEL CENTRO POBLADO SANTA ROSA DE SIRABAMBA, HUANUCO 2018.” (2019).
Denne tekst er kun til informationsformål og erstatter ikke konsultation med en professionel. Hvis du er i tvivl, så konsulter din specialist.







