Hjerneabsces: Diagnostik og behandling


Bedømt og godkendt af læge Leonardo Biolatto
En absces i en hvilken som helst del af kroppen er noget, der altid giver anledning til bekymring, når vi får det at vide for første gang, og vi ikke ved, hvad vi skal gøre ved det. For at bekæmpe denne bekymring og frygt for det ukendte vil vi fortælle dig, hvad en hjerneabsces handler om.
Generelle oplysninger om en hjerneabsces

En hjerneabsces er en ophobning af pus inde i hjernen. Den dannes, når bakterier fra en infektion et andet sted i hovedet, fra blodbanen eller fra et sår, når frem til hjernen.
Der ophobes normalt væske i vævet omkring en hjerneabsces. Som følge heraf svulmer det omgivende hjernevæv op, og det intrakranielle tryk stiger. Jo større abscessen er, jo større er hævelsen og trykket.
Hvis hjerneabscessen lækker eller brister, og der kommer pus i cerebrospinalvæsken, som strømmer gennem det væv, der dækker hjernen og rygmarven, opstår der meningitis. Denne sygdom kan ændre den neurologiske funktion på grund af betændelse og alle dens konsekvenser.
Forskellen mellem hjerneabsces og hjernebetændelse ligger i det faktum, at sidstnævnte ikke danner en fibrøs kapsel. På den anden side har epidemiologien ændret sig i de seneste år i forbindelse med brugen og oprettelsen af nye vacciner, herunder vaccinen mod Haemophilus influenza type B.
Diagnosticering af en hjerneabsces
Der kan udføres forskellige undersøgelser, der bringer os tættere på diagnosen og ætiologien, så lægen kan definere den behandling, der skal følges. Blandt de teknikker, der er tilgængelige i dag, er følgende:
- Generelle supplerende prøver: Disse er normalt ikke særlig nyttige og uspecifikke.
- Lumbalpunktur: Dette anbefales ikke, når der er mistanke om en fokal læsion med masseeffekt. Dens resultater er normalt ikke særlig specifikke.
- Computertomografi: Dette har stor diagnostisk nytteværdi, da det giver mulighed for at kontrollere eventuelle forbindelser med den medicinske tilstand og etablere behandling i henhold til den tilsvarende fase. Denne teknik er også en god undersøgelse til at følge op på udviklingen af sygdommen efter gennemførelsen af behandlingen.
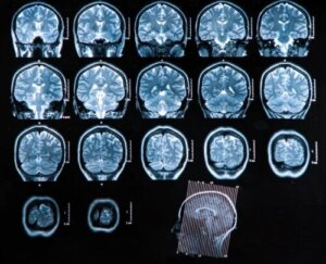
- Magnetisk resonansbilleddannelse: Dette er den bedste type billeddannelsesundersøgelse i forbindelse med diagnosticering af hjerneabscesser. Den er meget mere følsom end computertomografi og giver mange fordele ved påvisning af tidlig betændelse og ødemer og bedre differentiering mellem betændelsesområder og andre berørte strukturer.
- Scintigrafi: Dette er en test, der radioaktivt markerer nogle celler. Disse celler ophobes i betændelsesområdet, hvorved man kan skelne hjerneabscesser fra andre årsager til hjernemasse.
- SPECT-scanning: Dette er en undersøgelse, der har vist sig at være effektiv hos AIDS-patienter til at skelne mellem primære cerebrale lymfomer og infektiøse hjernelæsioner.
- Biopsi.
Læs også: Hvad er en flydende biopsi?

Hvilken behandling anvendes?
Behandlingen omfatter neurokirurgiske indgreb, der har til formål at dræne abscessen, ud over brugen af lægemidler til at reducere betændelse og størrelsen af læsionen. Antibiotika og kortikosteroider er nogle af eksemplerne.
Antibiotika
Der er beskrevet et tredobbelt skema til behandling af de vigtigste agenser, hvor der anvendes vancomycin, ceftriaxon og metronidazol. Tredje generations cefalosporiner og metronidazol har et tilstrækkeligt antimikrobielt spektrum og penetration til centralnervesystemet, så de er nyttige til de fleste infektioner, der er forbundet med denne sygdom.
Kortikosteroider
Brugen af disse lægemidler til behandling af denne sygdom er kontroversiel. For der findes ikke nogen randomiserede undersøgelser, der understøtter deres effektivitet i denne sammenhæng. Glukokortikoider administreres, når der er vasogene ødemer omkring abscessen, en masseeffekt og øget tryk.
Dette tyder på, at de kun kan anvendes i den akutte fase af sygdommen til behandling af endokraniel hypertension. Brugen af disse lægemidler kan dog også være nyttig til kontrol af postoperativt ødem efter neurokirurgens skøn.
En kompleks sygdom, der kræver lægehjælp
På grund af de potentielle komplikationer, der kan opstå, bør patienter med symptomer, der er forenelige med en hjerneabsces, hurtigst muligt henvende sig til en skadestue med henblik på specialiseret evaluering. Jo tidligere behandlingen indledes, jo bedre er chancerne for succes.
En absces i en hvilken som helst del af kroppen er noget, der altid giver anledning til bekymring, når vi får det at vide for første gang, og vi ikke ved, hvad vi skal gøre ved det. For at bekæmpe denne bekymring og frygt for det ukendte vil vi fortælle dig, hvad en hjerneabsces handler om.
Generelle oplysninger om en hjerneabsces

En hjerneabsces er en ophobning af pus inde i hjernen. Den dannes, når bakterier fra en infektion et andet sted i hovedet, fra blodbanen eller fra et sår, når frem til hjernen.
Der ophobes normalt væske i vævet omkring en hjerneabsces. Som følge heraf svulmer det omgivende hjernevæv op, og det intrakranielle tryk stiger. Jo større abscessen er, jo større er hævelsen og trykket.
Hvis hjerneabscessen lækker eller brister, og der kommer pus i cerebrospinalvæsken, som strømmer gennem det væv, der dækker hjernen og rygmarven, opstår der meningitis. Denne sygdom kan ændre den neurologiske funktion på grund af betændelse og alle dens konsekvenser.
Forskellen mellem hjerneabsces og hjernebetændelse ligger i det faktum, at sidstnævnte ikke danner en fibrøs kapsel. På den anden side har epidemiologien ændret sig i de seneste år i forbindelse med brugen og oprettelsen af nye vacciner, herunder vaccinen mod Haemophilus influenza type B.
Diagnosticering af en hjerneabsces
Der kan udføres forskellige undersøgelser, der bringer os tættere på diagnosen og ætiologien, så lægen kan definere den behandling, der skal følges. Blandt de teknikker, der er tilgængelige i dag, er følgende:
- Generelle supplerende prøver: Disse er normalt ikke særlig nyttige og uspecifikke.
- Lumbalpunktur: Dette anbefales ikke, når der er mistanke om en fokal læsion med masseeffekt. Dens resultater er normalt ikke særlig specifikke.
- Computertomografi: Dette har stor diagnostisk nytteværdi, da det giver mulighed for at kontrollere eventuelle forbindelser med den medicinske tilstand og etablere behandling i henhold til den tilsvarende fase. Denne teknik er også en god undersøgelse til at følge op på udviklingen af sygdommen efter gennemførelsen af behandlingen.
- Magnetisk resonansbilleddannelse: Dette er den bedste type billeddannelsesundersøgelse i forbindelse med diagnosticering af hjerneabscesser. Den er meget mere følsom end computertomografi og giver mange fordele ved påvisning af tidlig betændelse og ødemer og bedre differentiering mellem betændelsesområder og andre berørte strukturer.
- Scintigrafi: Dette er en test, der radioaktivt markerer nogle celler. Disse celler ophobes i betændelsesområdet, hvorved man kan skelne hjerneabscesser fra andre årsager til hjernemasse.
- SPECT-scanning: Dette er en undersøgelse, der har vist sig at være effektiv hos AIDS-patienter til at skelne mellem primære cerebrale lymfomer og infektiøse hjernelæsioner.
- Biopsi.
Læs også: Hvad er en flydende biopsi?

Hvilken behandling anvendes?
Behandlingen omfatter neurokirurgiske indgreb, der har til formål at dræne abscessen, ud over brugen af lægemidler til at reducere betændelse og størrelsen af læsionen. Antibiotika og kortikosteroider er nogle af eksemplerne.
Antibiotika
Der er beskrevet et tredobbelt skema til behandling af de vigtigste agenser, hvor der anvendes vancomycin, ceftriaxon og metronidazol. Tredje generations cefalosporiner og metronidazol har et tilstrækkeligt antimikrobielt spektrum og penetration til centralnervesystemet, så de er nyttige til de fleste infektioner, der er forbundet med denne sygdom.
Kortikosteroider
Brugen af disse lægemidler til behandling af denne sygdom er kontroversiel. For der findes ikke nogen randomiserede undersøgelser, der understøtter deres effektivitet i denne sammenhæng. Glukokortikoider administreres, når der er vasogene ødemer omkring abscessen, en masseeffekt og øget tryk.
Dette tyder på, at de kun kan anvendes i den akutte fase af sygdommen til behandling af endokraniel hypertension. Brugen af disse lægemidler kan dog også være nyttig til kontrol af postoperativt ødem efter neurokirurgens skøn.
En kompleks sygdom, der kræver lægehjælp
På grund af de potentielle komplikationer, der kan opstå, bør patienter med symptomer, der er forenelige med en hjerneabsces, hurtigst muligt henvende sig til en skadestue med henblik på specialiseret evaluering. Jo tidligere behandlingen indledes, jo bedre er chancerne for succes.
Alle citerede kilder blev grundigt gennemgået af vores team for at sikre deres kvalitet, pålidelighed, aktualitet og validitet. Bibliografien i denne artikel blev betragtet som pålidelig og af akademisk eller videnskabelig nøjagtighed.
- Antonio, M. D. D. G., Elizabeth, A. Y., & Alberto, M. A. (2010). Absceso cerebral. Revista Mexicana de Neurociencia.
- Chacón Mercado, M. (2002). Abscesos cerebrales. Médica Sur.
- Molina de Dios, G., Armijo Yescas, E., & Mimenza Alvarado, A. (2010). Absceso cerebral. Revista Mexicana de Neurociencia. https://doi.org/10.1157/13042996
Denne tekst er kun til informationsformål og erstatter ikke konsultation med en professionel. Hvis du er i tvivl, så konsulter din specialist.







