Hvad er en knude i lungerne helt præcis?

Kræft kan være det første, man tænker på, når man hører, at nogen har en knude i lungerne. Dette er dog en godartet tilstand i de fleste tilfælde, selvom der kan være en forbindelse til sygdomme.
En knude i lungerne er en masse, der måler mellem fem og tredive millimeter. Det er en mere og mere hyppig tilstand og nuværende estimater indikerer, at det rammer omkring 0,2% af befolkningen. Den gode nyhed er, at næsten 60% af disse knuder er godartede.
Årsagerne til denne lidelse spænder fra en infektion til en tumor. De fleste af de sidstnævnte opdages tilfældigt, når man udfører en CT-scanning eller røntgen.
Det er vigtigt at diagnosticere denne situation tidligt for at kunne undgå komplikationer og udelukke noget mere seriøst. I denne artikel vil vi derfor forklare alt, hvad du bør vide, om en knude i lungerne og hvad symptomerne er.
Årsager til en knude i lungerne
Som vi nævnte ovenstående, er en knude i lungerne en masse i lungerne og dets årsager kan variere. De fleste af dem er på grund af en infektion – enten bakteriel, parasitisk eller svampeinfektion.
Med hensyn til infektiøse årsager, bør man bemærke, at en knude i lungerne er gængse hos personer med tuberkulose. Ja, det hænder stadig, selvom forekomsten af lav.
Du vil måske også synes om: Man kan optimere sine lunger med disse fødevarer
Neoplastisk sygdom
På nuværende tidspunkt, er det første, som lægen vil udelukke, om denne knude i lungerne er kræftfremkaldende. Dette skyldes, at lungekræft er en af de mest hyppige typer kræft.
I sådanne tilfælde, vil knuden have et uregelmæssigt udseende med uklare kanter. Det er synligt på et røntgen. De er som regel også mindre end de godartede. Derudover er de en del af bestemte risikofaktorer, såsom:
- Rygning.
- At være over 35 år gammel.
- En tidligere sygehistorik for kræft.
- Knuden i lungerne vokser meget på få måneder.
Det er dog vigtigt at vide, at ikke alle neoplastiske knuder i lungerne er ondartede. Der er nogle godartede, selvom disse er langt mere sjælnde end de ondartede.

Andre årsager til en knude i lungerne
Der er mange andre sygdomme, som kan resultere i denne tilstand i lungerne. For eksempel bestemte autoimmune sygdomme såsom Wegeners granulomatose. Det er dog sjældent.
Ligeledes, kan en knude i lungerne dukke op på grund af trauma hos nogle personer. Dette er højst sandsynligt på grund af en sygdom forbundet med stofskiftet, der hedder amyloidose, eller efter en cyste i bronkierne.
Hvordan diagnosticerer læger en knude i lungerne?
Som det første, er det grundlæggende at have en fuldkommen sygehistorik for personen for at kunne diagnosticere en knude i lungerne og afgøre dens årsag. En patient skal vide, om de tidligere har haft tuberkulose og om de har været eksponeret for bestemte infektioner eller smittede personer.
Det er også vigtigt at vide, om de er rygere eller ej. Mange studier afslørede, at en stor del af knuder i lungerne er kræftfremkaldende og relateret til rygning.
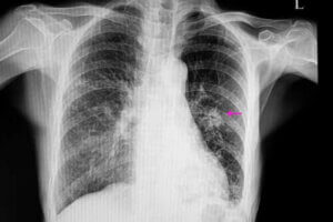
Når dette er gjort, skal en læge udføre bestemte billeddannelsestests for at kunne afgøre knudens placering. Derudover, vil billederne give dem mulighed for at observere bestemte karaktertræk såsom form og størrelse. Det skyldes, at de er vigtige for at kunne differentiere en godartet knude fra en mulig ondartet en.
De mest gængse metoder til at diagnosticere dem er via røntgen af lungerne og CT-scanninger. For at kunne finde ud af den præcise årsag til en knude i lungerne, udfører læger også nogle gange biopsier, eftersom de giver mulighed for at analysere vævene.

Vi anbefaler, at du læser: Sådan afgifter du dine lunger gennem din kost
Hvad er den bedste behandling?
Behandlingen, man bør følge, vil afhænge af årsagen til knuden i lungerne. For det første, kan det være nødvendigt med antibiotika eller svampedræbende midler, når det er på grund af en infektiøs proces.
Når årsagen ikke er sikker, vil behandlingen fokusere på patientens risiko for kræft. For eksempel, vil unge ikke-rygere, hvis knude ikke lader til at være ondartet, kun komme ind til regelmæssige tjek. Primært for at tjekke, om knuden ændrer sig eller vokser.
Ligeledes, hvis der er en risiko for kræft, så er det vigtigt, at lægen udfører en biopsi. Efter det, hvis knuden indeholdt kræftstoffer, vil de blive nødt til at planlægge en operation til at fjerne den. Når en operation ikke er muligt, kan de anbefale kemoterapi eller stråling.
Som det sidste, skal vi understrege de negative virkninger af tobak på lungerne. Man skal være bevidst om risikoen, der er forbundet med det, og få hyppige tjek hos lægen for at kunne opdage denne lidelse så hurtigt som muligt.
Kræft kan være det første, man tænker på, når man hører, at nogen har en knude i lungerne. Dette er dog en godartet tilstand i de fleste tilfælde, selvom der kan være en forbindelse til sygdomme.
En knude i lungerne er en masse, der måler mellem fem og tredive millimeter. Det er en mere og mere hyppig tilstand og nuværende estimater indikerer, at det rammer omkring 0,2% af befolkningen. Den gode nyhed er, at næsten 60% af disse knuder er godartede.
Årsagerne til denne lidelse spænder fra en infektion til en tumor. De fleste af de sidstnævnte opdages tilfældigt, når man udfører en CT-scanning eller røntgen.
Det er vigtigt at diagnosticere denne situation tidligt for at kunne undgå komplikationer og udelukke noget mere seriøst. I denne artikel vil vi derfor forklare alt, hvad du bør vide, om en knude i lungerne og hvad symptomerne er.
Årsager til en knude i lungerne
Som vi nævnte ovenstående, er en knude i lungerne en masse i lungerne og dets årsager kan variere. De fleste af dem er på grund af en infektion – enten bakteriel, parasitisk eller svampeinfektion.
Med hensyn til infektiøse årsager, bør man bemærke, at en knude i lungerne er gængse hos personer med tuberkulose. Ja, det hænder stadig, selvom forekomsten af lav.
Du vil måske også synes om: Man kan optimere sine lunger med disse fødevarer
Neoplastisk sygdom
På nuværende tidspunkt, er det første, som lægen vil udelukke, om denne knude i lungerne er kræftfremkaldende. Dette skyldes, at lungekræft er en af de mest hyppige typer kræft.
I sådanne tilfælde, vil knuden have et uregelmæssigt udseende med uklare kanter. Det er synligt på et røntgen. De er som regel også mindre end de godartede. Derudover er de en del af bestemte risikofaktorer, såsom:
- Rygning.
- At være over 35 år gammel.
- En tidligere sygehistorik for kræft.
- Knuden i lungerne vokser meget på få måneder.
Det er dog vigtigt at vide, at ikke alle neoplastiske knuder i lungerne er ondartede. Der er nogle godartede, selvom disse er langt mere sjælnde end de ondartede.

Andre årsager til en knude i lungerne
Der er mange andre sygdomme, som kan resultere i denne tilstand i lungerne. For eksempel bestemte autoimmune sygdomme såsom Wegeners granulomatose. Det er dog sjældent.
Ligeledes, kan en knude i lungerne dukke op på grund af trauma hos nogle personer. Dette er højst sandsynligt på grund af en sygdom forbundet med stofskiftet, der hedder amyloidose, eller efter en cyste i bronkierne.
Hvordan diagnosticerer læger en knude i lungerne?
Som det første, er det grundlæggende at have en fuldkommen sygehistorik for personen for at kunne diagnosticere en knude i lungerne og afgøre dens årsag. En patient skal vide, om de tidligere har haft tuberkulose og om de har været eksponeret for bestemte infektioner eller smittede personer.
Det er også vigtigt at vide, om de er rygere eller ej. Mange studier afslørede, at en stor del af knuder i lungerne er kræftfremkaldende og relateret til rygning.
Når dette er gjort, skal en læge udføre bestemte billeddannelsestests for at kunne afgøre knudens placering. Derudover, vil billederne give dem mulighed for at observere bestemte karaktertræk såsom form og størrelse. Det skyldes, at de er vigtige for at kunne differentiere en godartet knude fra en mulig ondartet en.
De mest gængse metoder til at diagnosticere dem er via røntgen af lungerne og CT-scanninger. For at kunne finde ud af den præcise årsag til en knude i lungerne, udfører læger også nogle gange biopsier, eftersom de giver mulighed for at analysere vævene.

Vi anbefaler, at du læser: Sådan afgifter du dine lunger gennem din kost
Hvad er den bedste behandling?
Behandlingen, man bør følge, vil afhænge af årsagen til knuden i lungerne. For det første, kan det være nødvendigt med antibiotika eller svampedræbende midler, når det er på grund af en infektiøs proces.
Når årsagen ikke er sikker, vil behandlingen fokusere på patientens risiko for kræft. For eksempel, vil unge ikke-rygere, hvis knude ikke lader til at være ondartet, kun komme ind til regelmæssige tjek. Primært for at tjekke, om knuden ændrer sig eller vokser.
Ligeledes, hvis der er en risiko for kræft, så er det vigtigt, at lægen udfører en biopsi. Efter det, hvis knuden indeholdt kræftstoffer, vil de blive nødt til at planlægge en operation til at fjerne den. Når en operation ikke er muligt, kan de anbefale kemoterapi eller stråling.
Som det sidste, skal vi understrege de negative virkninger af tobak på lungerne. Man skal være bevidst om risikoen, der er forbundet med det, og få hyppige tjek hos lægen for at kunne opdage denne lidelse så hurtigt som muligt.
Alle citerede kilder blev grundigt gennemgået af vores team for at sikre deres kvalitet, pålidelighed, aktualitet og validitet. Bibliografien i denne artikel blev betragtet som pålidelig og af akademisk eller videnskabelig nøjagtighed.
- Un nódulo pulmonar solitario | Medicina Integral. (n.d.). Retrieved December 24, 2019, from https://www.elsevier.es/es-revista-medicina-integral-63-articulo-un-nodulo-pulmonar-solitario-13046283
- Nódulos pulmonares: ¿Pueden ser cancerosos? Mayo Clinic. https://www.mayoclinic.org/es-es/diseases-conditions/lung-cancer/expert-answers/lung-nodules/faq-20058445#:~:text=Los%20n%C3%B3dulos%20pulmonares%20no%20cancerosos%20generalmente%20no%20requieren%20tratamiento.,o%20cambia%20con%20el%20tiempo.
- Prevención del cáncer de pulmón (PDQ®)–Versión para profesionales de salud. Instituto Nacional del Cáncer. https://www.cancer.gov/espanol/tipos/pulmon/pro/prevencion-pulmon-pdq
Denne tekst er kun til informationsformål og erstatter ikke konsultation med en professionel. Hvis du er i tvivl, så konsulter din specialist.







